Warehouse Overstock Promotion |  Save 10%  on Premium Lab Supplies |  Shop Now

Menu

This product has been added to the cart.

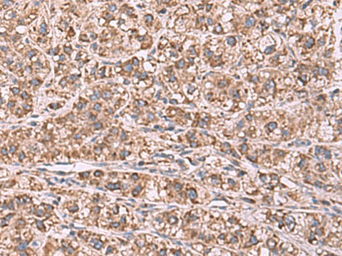
GUSB Polyclonal Antibody Reactivity Human

SKU: E-AB-53000-200

  • $ 55995
  • Save $ 4000


Request a Quote

GUSB Polyclonal Antibody Reactivity Human

 

SKU # E-AB-53000
Reactivity Human
Host Rabbit
Applications IHC

 

Product Details

Isotype IgG
Host Rabbit
Reactivity Human
Applications IHC
Clonality Polyclonal
Immunogen Fusion protein of human GUSB
Abbre GUSB
Synonyms Ac2-223,  BG,  BGLR,  Beta G1,  Beta glucuronidase,  Beta-G1,  Beta-glucuronidase,  FLJ39445,  GUSB,  Glucuronidase beta,  Gur,  Gus,  Gus-r,  Gus-s,  Gus-t,  Gus-u,  Gut,  MPS7,  asd
Swissprot
Cellular Localization Lysosome
Concentration 1.32 mg/mL
Buffer Phosphate buffered solution, pH 7.4, containing 0.05% stabilizer and 50% glycerol.
Purification Method Antigen affinity purification
Research Areas Metabolism,  Signal Transduction
Conjugation Unconjugated
Storage Store at -20°C Valid for 12 months. Avoid freeze / thaw cycles.
Shipping The product is shipped with ice pack, upon receipt, store it immediately at the temperature recommended.

 

Related Reagents

Applications Recommended Dilution
IHC 1:70-1:350

 

Background

The GUSB gene encodes beta-glucuronidase, a lysosomal hydrolase involved in the stepwise degradation of glucuronic acid-containing glycosaminoglycans. It is a tetrameric glycoprotein composed of identical subunits. GUSB plays an important role in the degradation of dermatan and keratan sulfates. It has two isoforms.