Warehouse Overstock Promotion |  Save 10%  on Premium Lab Supplies |  Shop Now

Menu

This product has been added to the cart.

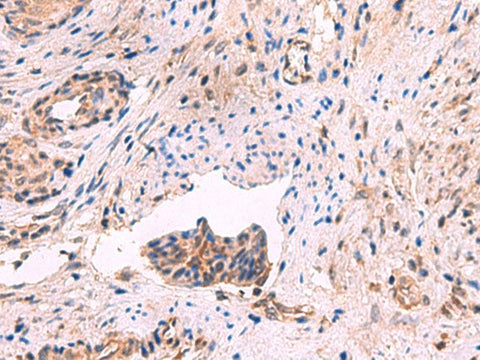
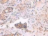
GSPT2 Polyclonal Antibody Reactivity Human

SKU: E-AB-52994-200

  • $ 55995
  • Save $ 4000


Request a Quote

GSPT2 Polyclonal Antibody Reactivity Human

 

SKU # E-AB-52994
Reactivity Human, Mouse
Host Rabbit
Applications WB, IHC

 

Product Details

Isotype IgG
Host Rabbit
Reactivity Human, Mouse
Applications WB,  IHC
Clonality Polyclonal
Immunogen Fusion protein of human GSPT2
Abbre GSPT2
Synonyms ERF3B,  Eukaryotic peptide chain release factor GTP-binding subunit ERF3B,  Eukaryotic peptide chain release factor subunit 3b,  G1 to S phase transition 2,  G1 to S phase transition protein 2 homolog,  GST2 ,  Gspt2,  eRF3b,  peptide chain release factor 3
Swissprot
Calculated MW 69 kDa
Observed MW Refer to figures
Cellular Localization Cytoplasm.
Concentration 0.84 mg/mL
Buffer Phosphate buffered solution, pH 7.4, containing 0.05% stabilizer and 50% glycerol.
Purification Method Antigen affinity purification
Research Areas Epigenetics and Nuclear Signaling
Conjugation Unconjugated
Storage Store at -20°C Valid for 12 months. Avoid freeze / thaw cycles.
Shipping The product is shipped with ice pack, upon receipt, store it immediately at the temperature recommended.

 

Related Reagents

Applications Recommended Dilution
WB 1:500-1:2000
IHC 1:30-1:150

 

Background

This gene encodes a GTPase that belongs to the GTP-binding elongation factor family. The encoded protein is a polypeptide release factor that complexes with eukaryotic peptide chain release factor 1 to mediate translation termination. This protein may also be involved in mRNA stability.