Warehouse Overstock Promotion |  Save 10%  on Premium Lab Supplies |  Shop Now

Menu

This product has been added to the cart.

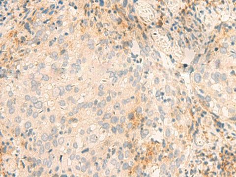
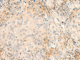
GSKIP Polyclonal Antibody Reactivity Human

SKU: E-AB-52808-200

  • $ 55995
  • Save $ 4000


Request a Quote

GSKIP Polyclonal Antibody Reactivity Human

 

SKU # E-AB-52808
Reactivity Human, Mouse, Rat
Host Rabbit
Applications IHC

 

Product Details

Isotype IgG
Host Rabbit
Reactivity Human, Mouse, Rat
Applications IHC
Clonality Polyclonal
Immunogen Fusion protein of human GSKIP
Abbre GSKIP
Synonyms C14ORF129,  Chromosome 14 open reading frame 129 ,  GSK3-beta interaction protein,  GSK3beta interaction protein,  GSKIP,  MGC4945,  UPF0279
Swissprot
Cellular Localization Cytoplasm.
Concentration 0.78 mg/mL
Buffer Phosphate buffered solution, pH 7.4, containing 0.05% stabilizer and 50% glycerol.
Purification Method Antigen affinity purification
Research Areas Cell Biology
Conjugation Unconjugated
Storage Store at -20°C Valid for 12 months. Avoid freeze / thaw cycles.
Shipping The product is shipped with ice pack, upon receipt, store it immediately at the temperature recommended.

 

Related Reagents

Applications Recommended Dilution
IHC 1:30-1:150

 

Background

This gene encodes a protein that is involved as a negative regulator of GSK3-beta in the Wnt signaling pathway. The encoded protein may play a role in the retinoic acid signaling pathway by regulating the functional interactions between GSK3-beta, beta-catenin and cyclin D1, and it regulates the beta-catenin/N-cadherin pool. The encoded protein contains a GSK3-beta interacting domain (GID) in its C-terminus, which is similar to the GID of Axin. The protein also contains an evolutionarily conserved RII-binding domain, which facilitates binding with protein kinase-A and GSK3-beta, enabling its role as an A-kinase anchoring protein. Alternatively spliced transcript variants have been observed for this gene.