Warehouse Overstock Promotion |  Save 10%  on Premium Lab Supplies |  Shop Now

Menu

This product has been added to the cart.

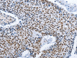
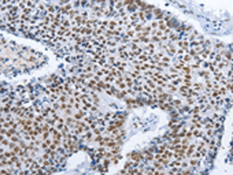
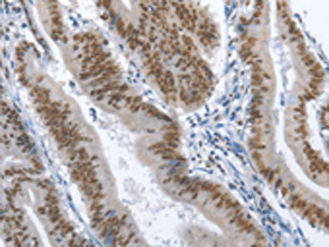
GNRH1 Polyclonal Antibody Reactivity Human

SKU: E-AB-52158-200

  • $ 55995
  • Save $ 4000


Request a Quote

GNRH1 Polyclonal Antibody Reactivity Human

 

SKU # E-AB-52158
Reactivity Human
Host Rabbit
Applications IHC

 

Product Details

Isotype IgG
Host Rabbit
Reactivity Human
Applications IHC
Clonality Polyclonal
Immunogen Fusion protein of human GNRH1
Abbre GNRH1
Synonyms GNRH1,  GRH,  GnRH associated peptide 1,  Gonadotrophin releasing hormone 1,  HH12,  LHRH,  LNRH,  Luliberin I,  Luteinizing releasing hormone,  Lutenizing hormome releasing hormone,  Progonadoliberin 1,  Progonadoliberin I,  Prolactin release inhibiting factor
Swissprot
Cellular Localization Secreted
Concentration 0.9 mg/mL
Buffer Phosphate buffered solution, pH 7.4, containing 0.05% stabilizer and 50% glycerol.
Purification Method Antigen affinity purification
Research Areas Developmental Biology,  Signal Transduction
Conjugation Unconjugated
Storage Store at -20°C Valid for 12 months. Avoid freeze / thaw cycles.
Shipping The product is shipped with ice pack, upon receipt, store it immediately at the temperature recommended.

 

Related Reagents

Applications Recommended Dilution
IHC 1:100-1:300

 

Background

The protein encoded by this gene is secreted and then cleaved to form the 10 aa luteinizing hormone-releasing hormone (LHRH, also known as gonadoliberin-1), and prolactin release-inhibiting factor (also known as GnRH-associated peptide 1). LHRH stimulates the release of luteinizing and follicle stimulating hormones, which are important for reproduction. Mutation in this gene are associated with hypogonadotropic hypogonadism. Alternatively spliced transcript variants have been described for this gene.