Warehouse Overstock Promotion |  Save 10%  on Premium Lab Supplies |  Shop Now

Menu

This product has been added to the cart.

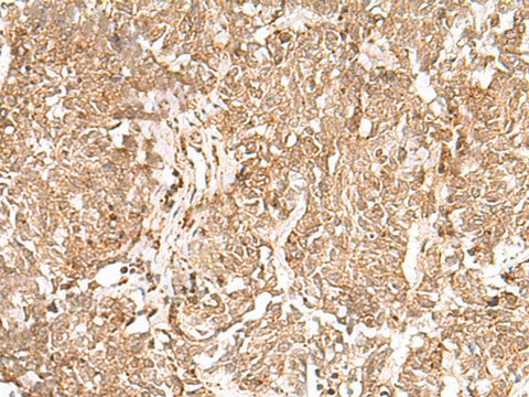
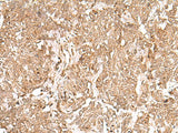
GMPPB Polyclonal Antibody Reactivity Human

SKU: E-AB-52910-200

  • $ 55995
  • Save $ 4000


Request a Quote

GMPPB Polyclonal Antibody Reactivity Human

 

SKU # E-AB-52910
Reactivity Human, Mouse
Host Rabbit
Applications IHC

 

Product Details

Isotype IgG
Host Rabbit
Reactivity Human, Mouse
Applications IHC
Clonality Polyclonal
Immunogen Fusion protein of human GMPPB
Abbre GMPPB
Synonyms GDP mannose pyrophosphorylase B,  GDP-mannose pyrophosphorylase B,  GMPPB,  GTP-mannose-1-phosphate guanylyltransferase beta,  KIAA1851,  Mannose 1 phosphate guanylyltransferase ,  Mannose-1-phosphate guanyltransferase beta
Swissprot
Concentration 0.9 mg/mL
Buffer Phosphate buffered solution, pH 7.4, containing 0.05% stabilizer and 50% glycerol.
Purification Method Antigen affinity purification
Research Areas Metabolism, Signal transduction
Conjugation Unconjugated
Storage Store at -20°C Valid for 12 months. Avoid freeze / thaw cycles.
Shipping The product is shipped with ice pack, upon receipt, store it immediately at the temperature recommended.

 

Related Reagents

Applications Recommended Dilution
IHC 1:50-1:300

 

Background

This gene is thought to encode a GDP-mannose pyrophosphorylase. The encoded protein catalyzes the conversion of mannose-1-phosphate and GTP to GDP-mannose, a reaction involved in the production of N-linked oligosaccharides. Alternatively spliced transcript variants encoding distinct isoforms have been described.