Warehouse Overstock Promotion |  Save 10%  on Premium Lab Supplies |  Shop Now

Menu

This product has been added to the cart.

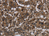
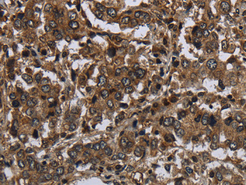
GLIPR1 Polyclonal Antibody Store at -20°C

SKU: E-AB-15071-200

  • $ 55995
  • Save $ 4000


Request a Quote

GLIPR1 Polyclonal Antibody Store at -20°C

 

SKU # E-AB-15071
Reactivity Human
Host Rabbit
Applications IHC

 

Product Details

Isotype IgG
Host Rabbit
Reactivity Human
Applications IHC
Clonality Polyclonal
Immunogen Recombinant protein of human GLIPR1
Abbre GLIPR1
Synonyms AND PATHOGENESIS PROTEINS,  CRISP 7,  CRISP7,  GLI pathogenesis related 1,  GLI pathogenesis-related 1 (glioma),  GLIP1,  GLIPR,  GLIPR1,  GliPR 1,  Glioma pathogenesis related protein 1,  Glioma pathogenesis-related protein 1,  Protein RTVP-1,  RELATED TO TESTIS SPECIFIC,  VESPID
Swissprot
Cellular Localization Membrane.
Concentration 0.5 mg/mL
Buffer Phosphate buffered solution, pH 7.4, containing 0.05% stabilizer and 50% glycerol.
Purification Method Affinity purification
Research Areas Cancer,  Cell Biology
Conjugation Unconjugated
Storage Store at -20°C Valid for 12 months. Avoid freeze / thaw cycles.
Shipping The product is shipped with ice pack,upon receipt,store it immediately at the temperature recommended.

 

Related Reagents

Applications Recommended Dilution
IHC 1:100-1:300

 

Background

This gene encodes a protein with similarity to both the pathogenesis-related protein (PR) superfamily and the cysteine-rich secretory protein (CRISP) family. Increased expression of this gene is associated with myelomocytic differentiation in macrophage and decreased expression of this gene through gene methylation is associated with prostate cancer. The protein has proapoptotic activities in prostate and bladder cancer cells. This gene is a member of a cluster on chromosome 12 containing two other similar genes. Alternatively spliced variants which encode different protein isoforms have been described; however, not all variants have been fully characterized.