Warehouse Overstock Promotion |  Save 10%  on Premium Lab Supplies |  Shop Now

Menu

This product has been added to the cart.

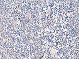
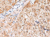
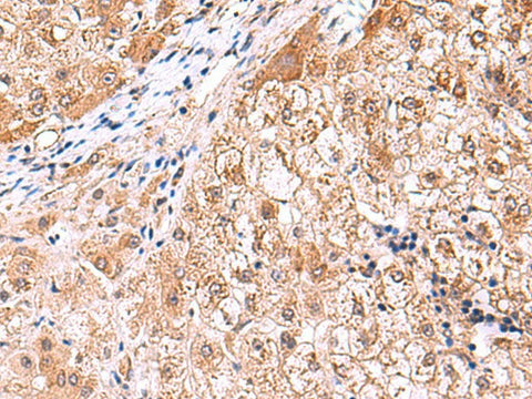
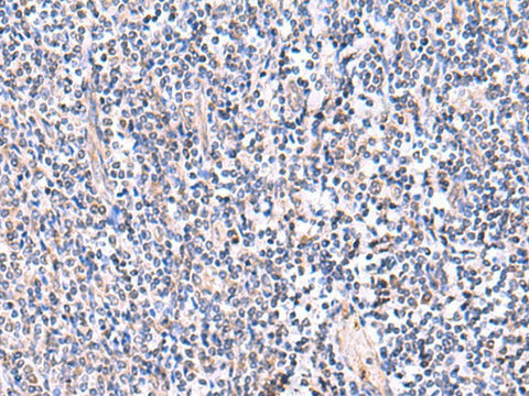
FDFT1 Polyclonal Antibody Reactivity Human

SKU: E-AB-52940-200

  • $ 55995
  • Save $ 4000


Request a Quote

FDFT1 Polyclonal Antibody Reactivity Human

 

SKU # E-AB-52940
Reactivity Human, Mouse, Rat
Host Rabbit
Applications WB, IHC

 

Product Details

Isotype IgG
Host Rabbit
Reactivity Human, Mouse, Rat
Applications WB, IHC
Clonality Polyclonal
Immunogen Fusion protein of human FDFT1
Abbre FDFT1
Synonyms DGPT,  ERG9,  FDFT,  FDFT1,  FPP:FPP farnesyltransferase,  Farnesyl diphosphate farnesyltransferase,  Farnesyl-diphosphate farnesyltransferase,  SQS,  SS,  Squalene synthase,  Squalene synthetase
Swissprot
Calculated MW 48 kDa
Observed MW Refer to figures
Cellular Localization Endoplasmic reticulum membrane.
Concentration 1.32 mg/mL
Buffer Phosphate buffered solution, pH 7.4, containing 0.05% stabilizer and 50% glycerol.
Purification Method Antigen affinity purification
Research Areas Cancer,  Cardiovascular,  Metabolism,  Neuroscience
Conjugation Unconjugated
Storage Store at -20°C Valid for 12 months. Avoid freeze / thaw cycles.
Shipping The product is shipped with ice pack, upon receipt, store it immediately at the temperature recommended.

 

Related Reagents

Applications Recommended Dilution
WB 1:1000-1:5000
IHC 1:40-1:200

 

Background

This gene encodes a membrane-associated enzyme located at a branch point in the mevalonate pathway. The encoded protein is the first specific enzyme in cholesterol biosynthesis, catalyzing the dimerization of two molecules of farnesyl diphosphate in a two-step reaction to form squalene.