Warehouse Overstock Promotion |  Save 10%  on Premium Lab Supplies |  Shop Now

Menu

This product has been added to the cart.

FCGRT Polyclonal Antibody

SKU: E-AB-19859-200

  • $ 55995
  • Save $ 4000


Request a Quote

FCGRT Polyclonal Antibody

 

SKU # E-AB-19859
Reactivity Human
Host Rabbit
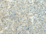
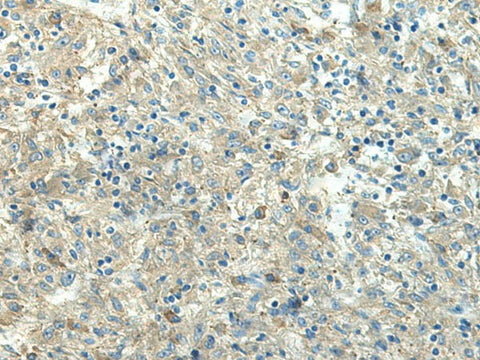
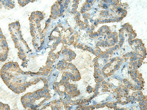
Applications WB,  IHC

 

Product Details

Isotype IgG
Host Rabbit
Reactivity Human
Applications WB,  IHC
Clonality Polyclonal
Immunogen Synthetic peptide of human FCGRT
Abbre FCGRT
Synonyms alpha,   alpha chain,   receptor transporter,  Alpha chain,  FCGRN_HUMAN,  FCGRT,  FCRN,  Fc fragment of IgG,  FcRn,  FcRn alpha chain,  IgG Fc fragment receptor transporter alpha chain,  IgG Gc receptor,  IgG receptor FcRn large subunit p51,  IgG receptor FcRn large subunit p51
Swissprot
Calculated MW 40 kDa
Observed MW Refer to figures
Cellular Localization Membrane
Concentration 1.92 mg/mL
Buffer Phosphate buffered solution, pH 7.4, containing 0.05% stabilizer and 50% glycerol.
Purification Method Antigen affinity purification
Research Areas Immunology
Conjugation Unconjugated
Storage Store at -20°C Valid for 12 months. Avoid freeze / thaw cycles.
Shipping The product is shipped with ice pack,upon receipt,store it immediately at the temperature recommended.

 

Related Reagents

Applications Recommended Dilution
WB 1:500-1:2000
IHC 1:50-1:300

 

Background   

This gene encodes a receptor that binds the Fc region of monomeric immunoglobulin G. The encoded protein transfers immunoglobulin G antibodies from mother to fetus across the placenta. This protein also binds immunoglobulin G to protect the antibody from degradation. Alternative splicing results in multiple transcript variants.