Warehouse Overstock Promotion |  Save 10%  on Premium Lab Supplies |  Shop Now

Menu

This product has been added to the cart.

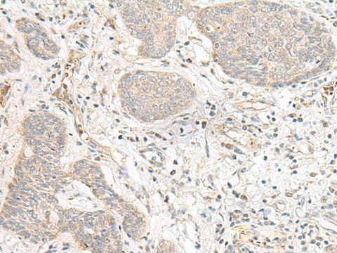
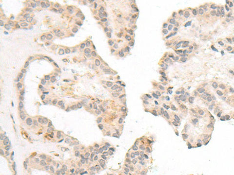
FBXW8 Polyclonal Antibody

SKU: E-AB-19858-200

  • $ 55995
  • Save $ 4000


Request a Quote

FBXW8 Polyclonal Antibody

 

SKU # E-AB-19858
Reactivity Human
Host Rabbit
Applications IHC

 

Product Details

Isotype IgG
Host Rabbit
Reactivity Human
Applications IHC
Clonality Polyclonal
Immunogen Synthetic peptide of human FBXW8
Abbre FBXW8
Synonyms F box and WD40 domain containing protein 8,  F box only protein 29,  F box/WD repeat containing protein 8,  F-box and WD-40 domain-containing protein 8,  F-box only protein 29,  F-box/WD repeat-containing protein 8,  FBW6,  FBW8,  FBX29,  FBXO29,  FBXW6,  FBXW8
Swissprot
Concentration 2.04 mg/mL
Buffer Phosphate buffered solution, pH 7.4, containing 0.05% stabilizer and 50% glycerol.
Purification Method Antigen affinity purification
Research Areas Cell Biology
Conjugation Unconjugated
Storage Store at -20°C Valid for 12 months. Avoid freeze / thaw cycles.
Shipping The product is shipped with ice pack,upon receipt,store it immediately at the temperature recommended.

 

Related Reagents

Applications Recommended Dilution
IHC 1:40-1:200

 

Background   

This gene encodes a member of the F-box protein family, members of which are characterized by an approximately 40 amino acid motif, the F-box. The F-box proteins constitute one of the four subunits of ubiquitin protein ligase complex called SCFs (SKP1-cullin-F-box), which function in phosphorylation-dependent ubiquitination. The F-box proteins are divided into three classes: Fbws containing WD-40 domains, Fbls containing leucine-rich repeats, and Fbxs containing either different protein-protein interaction modules or no recognizable motifs. The protein encoded by this gene contains a WD-40 domain, in addition to an F-box motif, so it belongs to the Fbw class. Alternatively spliced transcript variants encoding distinct isoforms have been identified for this gene.