Warehouse Overstock Promotion |  Save 10%  on Premium Lab Supplies |  Shop Now

Menu

This product has been added to the cart.

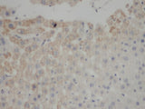
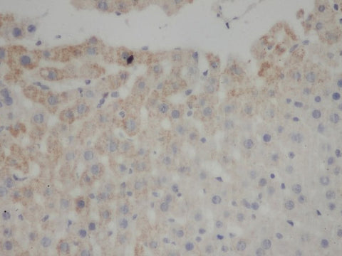
FAS Polyclonal Antibody Reactivity Human

SKU: E-AB-40063-200

  • $ 54295
  • Save $ 3800


Request a Quote

FAS Polyclonal Antibody Reactivity Human

 

SKU # E-AB-40063
Reactivity Human, Mouse
Host Rabbit
Applications WB, IHC

 

Product Details

Isotype IgG
Host Rabbit
Reactivity Human, Mouse
Applications WB, IHC
Clonality Polyclonal
Immunogen Recombinant human Tumor necrosis factor receptor superfamily member 6 protein
Abbre FAS
Synonyms ALPS 1A,  ALPS1A,  APO 1,  APO 1 cell surface antigen,  APO1,  APO1 cell surface antigen,  APT 1,  APT1,  Apo 1 antigen,  Apo-1 antigen,  Apo1 antigen,  Apoptosis antigen 1,  Apoptosis mediating surface antigen FAS,  Apoptosis-mediating surface antigen FAS,  CD 95,  CD 95 antigen,  CD95
Swissprot
Calculated MW 37 kDa
Observed MW 45 kDa
Cellular Localization Secreted and Cell membrane.
Concentration 1 mg/mL
Buffer PBS with 0.05% proclin 300, 1% protective protein and 50% glycerol,pH7.4
Purification Method Antigen Affinity Purification
Research Areas Cancer,  Cell Biology,  Immunology
Conjugation Unconjugated
Storage Store at -20°C Valid for 12 months. Avoid freeze / thaw cycles.
Shipping The product is shipped with ice pack, upon receipt, store it immediately at the temperature recommended.

 

Related Reagents

Applications Recommended Dilution
WB 1:500-1:1000
IHC 1:50-1:100

 

Background

Fas (CD95/APO-1) is a transmembrane glycoprotein belonging to the tumor necrosis factor (TNF) receptor superfamily. It can mediates apoptosis by ligation with an agonistic anti-Fas antibody or Fas ligand. Stimulation of Fas results in the aggregation of its intracellular death domains, leading to the formation of the death-inducing signaling complex (DISC). FAS-mediated apoptosis may have a role in the induction of peripheral tolerance, in the antigen-stimulated suicide of mature T-cells,or both. The molecular mass of native Fas is 38 kDa, the high molecular weight form (40-55 kDa) of Fas is due to glycosylation.