Warehouse Overstock Promotion |  Save 10%  on Premium Lab Supplies |  Shop Now

Menu

This product has been added to the cart.

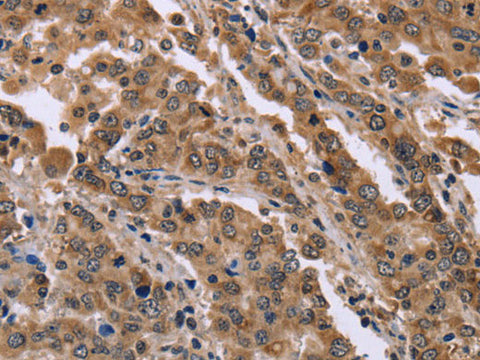
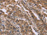
FAM3B Polyclonal Antibody Store at -20°C

SKU: E-AB-11214-200

  • $ 55995
  • Save $ 4000


Request a Quote

FAM3B Polyclonal Antibody Store at -20°C

 

SKU # E-AB-11214
Reactivity Human, Mouse
Host Rabbit
Applications IHC

 

Product Details

Isotype IgG
Host Rabbit
Reactivity Human, Mouse
Applications IHC
Clonality Polyclonal
Immunogen Recombinant protein of human FAM3B
Abbre FAM3B
Synonyms 2-21,  C21orf11,  C21orf76,  Cytokine like protein 2 21,  Cytokine-like protein 2-21,  FAM3B,  Fam3b,  Family with sequence similarity 3 member B,  ORF9,  PANDER,  PRED44,  Pancreatic-derived factor,  Protein FAM3B
Swissprot
Cellular Localization Secreted. Localized in discrete vesicular and perinuclear structure.
Concentration 0.7 mg/mL
Buffer Phosphate buffered solution, pH 7.4, containing 0.05% stabilizer and 50% glycerol.
Purification Method Affinity purification
Research Areas Metabolism,  Immunology
Conjugation Unconjugated
Storage Store at -20°C Valid for 12 months. Avoid freeze / thaw cycles.
Shipping The product is shipped with ice pack,upon receipt,store it immediately at the temperature recommended.

 

Related Reagents

Applications Recommended Dilution
IHC 1:50-1:200

 

Background

FAM3B (family with sequence similarity 3, member B), also known as ORF9, C21orf11 or PANDER, is a 235 amino acid secreted protein that localizes to discrete vesicular and perinuclear structures. Expressed at high levels in pancreas and at lower levels in kidney, colon, testis, prostate and small intestine, FAM3B functions as an islet-specific cytokine that promotes apoptosis and may inhibit Insulin secretion from beta-cells, possibly playing a role in overall pancreatic activity. Human FAM3B shares 78% sequence identity with its mouse counterpart, suggesting a conserved role between species. Three isoforms of FAM3B, designated A, B and C, exist due to alternative splicing events. The gene encoding FAM3B maps to human chromosome 21, which houses approximately 300 genes and comprises nearly 1.5% of the human genome.