Warehouse Overstock Promotion |  Save 10%  on Premium Lab Supplies |  Shop Now

Menu

This product has been added to the cart.

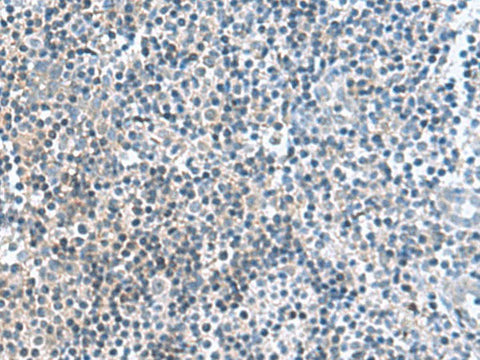
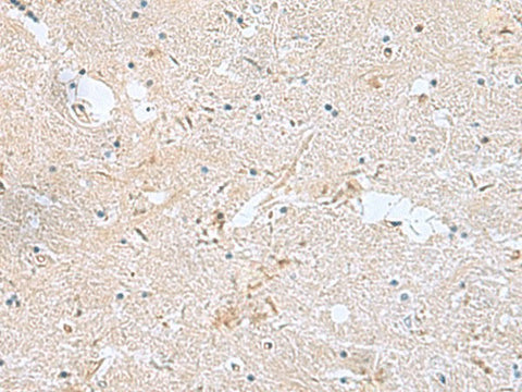
FAM107B Polyclonal Antibody Reactivity Human

SKU: E-AB-53033-200

  • $ 55995
  • Save $ 4000


Request a Quote

FAM107B Polyclonal Antibody Reactivity Human

 

SKU # E-AB-53033
Reactivity Human, Mouse, Rat
Host Rabbit
Applications IHC

 

Product Details

Isotype IgG
Host Rabbit
Reactivity Human, Mouse, Rat
Applications IHC
Clonality Polyclonal
Immunogen Fusion protein of human FAM107B
Abbre FAM107B
Synonyms member B,  C10orf45,  F107B,  FAM107B,  FLJ45505,  Family with sequence similarity 107,  MGC11034,  Protein FAM107B
Swissprot
Concentration 1.38 mg/mL
Buffer Phosphate buffered solution, pH 7.4, containing 0.05% stabilizer and 50% glycerol.
Purification Method Antigen affinity purification
Research Areas Cell Biology
Conjugation Unconjugated
Storage Store at -20°C Valid for 12 months. Avoid freeze / thaw cycles.
Shipping The product is shipped with ice pack, upon receipt, store it immediately at the temperature recommended.

 

Related Reagents

Applications Recommended Dilution
IHC 1:150-1:300

 

Background

FAM107B is a 131 amino acid protein that is encoded by a gene that maps to human chromosome 10, which contains over 800 genes and 135 million nucleotides, making up nearly 4.5% of the human genome. PTEN is an important tumor suppressor gene located on chromosome 10 and, when defective, causes a genetic predisposition to cancer development known as Cowden syndrome. The chromosome 10 encoded gene ERCC6 is important for DNA repair and is linked to Cockayne syndrome which is characterized by extreme photosensitivity and premature aging. Tetrahydrobiopterin deficiency and a number of syndromes involving defective skull and facial bone fusion are also linked to chromosome 10. As with most trisomies, trisomy 10 is rare and is deleterious.