Warehouse Overstock Promotion |  Save 10%  on Premium Lab Supplies |  Shop Now

Menu

This product has been added to the cart.

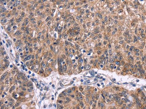
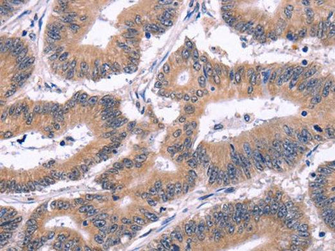
Ephrin A5 Polyclonal Antibody

SKU: E-AB-16408-200

  • $ 55995
  • Save $ 4000


Request a Quote

Ephrin A5 Polyclonal Antibody

 

SKU # E-AB-16408
Reactivity Human, Mouse, Rat
Host Rabbit
Applications IHC

 

Product Details

Isotype IgG
Host Rabbit
Reactivity Human, Mouse, Rat
Applications IHC
Clonality Polyclonal
Immunogen Synthetic peptide of human EFNA5
Abbre Ephrin A5
Synonyms AF1,  AL 1,  AL-1,  EFL5,  EFNA5,  EPH-related receptor tyrosine kinase ligand 7,  EPLG7,  Efna5,  Ephrin A5,  Ephrin-A5,  GLC1M,  LERK-7,  LERK7,  RAGS
Swissprot
Cellular Localization Cell membrane. Membrane>caveola. Compartmentalized in discrete caveolae-like membrane microdomains.
Concentration 0.8 mg/mL
Buffer Phosphate buffered solution, pH 7.4, containing 0.05% stabilizer and 50% glycerol.
Purification Method Affinity purification
Research Areas Cancer, Neuroscience, Signal transduction
Conjugation Unconjugated
Storage Store at -20°C Valid for 12 months. Avoid freeze / thaw cycles.
Shipping The product is shipped with ice pack,upon receipt,store it immediately at the temperature recommended.

 

Related Reagents

Applications Recommended Dilution
IHC 1:50-1:200

 

Background

Ephrin-A5, a member of the ephrin gene family, prevents axon bundling in cocultures of cortical neurons with astrocytes, a model of late stage nervous system development and differentiation. The EPH and EPH-related receptors comprise the largest subfamily of receptor protein-tyrosine kinases and have been implicated in mediating developmental events, particularly in the nervous system. EPH receptors typically have a single kinase domain and an extracellular region containing a Cys-rich domain and 2 fibronectin type III repeats. The ephrin ligands and receptors have been named by the Eph Nomenclature Committee (1997).