Warehouse Overstock Promotion |  Save 10%  on Premium Lab Supplies |  Shop Now

Menu

This product has been added to the cart.

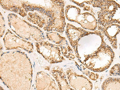
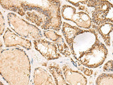
ECH1 Polyclonal Antibody Reactivity Human

SKU: E-AB-52890-200

  • $ 55995
  • Save $ 4000


Request a Quote

ECH1 Polyclonal Antibody Reactivity Human

 

SKU # E-AB-52890
Reactivity Human, Rat
Host Rabbit
Applications WB, IHC

 

Product Details

Isotype IgG
Host Rabbit
Reactivity Human, Rat
Applications WB, IHC
Clonality Polyclonal
Immunogen Fusion protein of human ECH1
Abbre ECH1
Synonyms 4)-dienoyl-CoA isomerase,  5)-Delta(2,  Delta(3,  Delta(3 5) Delta(2 4) dienoyl CoA isomerase,  Delta(3 5) Delta(2 4) dienoyl CoA isomerase mitochondrial,  Delta3 5 delta2 4 dienoyl CoA isomerase,  Dienoyl CoA isomerase,  ECH 1,  ECH1,  Ech1,  En,  Enoyl Coenzyme A hydratase 1
Swissprot
Calculated MW 36 kDa
Observed MW Refer to figures
Cellular Localization Mitochondrion. Peroxisome.
Concentration 0.9 mg/mL
Buffer Phosphate buffered solution, pH 7.4, containing 0.05% stabilizer and 50% glycerol.
Purification Method Antigen affinity purification
Research Areas Cancer,  Cardiovascular,  Metabolism,  Signal transduction,  Tags and Cell markers
Conjugation Unconjugated
Storage Store at -20°C Valid for 12 months. Avoid freeze / thaw cycles.
Shipping The product is shipped with ice pack, upon receipt, store it immediately at the temperature recommended.

 

Related Reagents

Applications Recommended Dilution
WB 1:500-1:2000
IHC 1:50-1:300

 

Background

This gene encodes a member of the hydratase/isomerase superfamily. The gene product shows high sequence similarity to enoyl-coenzyme A (CoA) hydratases of several species, particularly within a conserved domain characteristic of these proteins. The encoded protein, which contains a C-terminal peroxisomal targeting sequence, localizes to the peroxisome. The rat ortholog, which localizes to the matrix of both the peroxisome and mitochondria, can isomerize 3-trans,5-cis-dienoyl-CoA to 2-trans,4-trans-dienoyl-CoA, indicating that it is a delta3,5-delta2,4-dienoyl-CoA isomerase. This enzyme functions in the auxiliary step of the fatty acid beta-oxidation pathway. Expression of the rat gene is induced by peroxisome proliferators.