Warehouse Overstock Promotion |  Save 10%  on Premium Lab Supplies |  Shop Now

Menu

This product has been added to the cart.

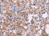
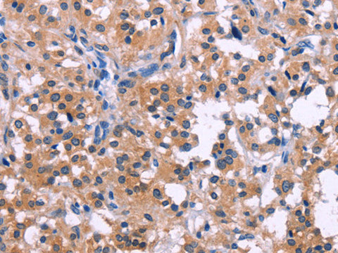
DUSP13 Polyclonal Antibody Store at -20°C

SKU: E-AB-14067-200

  • $ 33995
  • Save $ 6000


Request a Quote

DUSP13 Polyclonal Antibody Store at -20°C

 

SKU # E-AB-14067
Reactivity Human,  Mouse
Host Rabbit
Applications IHC

 

Product Details

Isotype IgG
Host Rabbit
Reactivity Human,  Mouse
Applications IHC
Clonality Polyclonal
Immunogen Recombinant protein of human DUSP13
Abbre DUSP13
Synonyms BEDP,  DUSP13A,  DUSP13B,  MDSP,  SKRP4,  TMDP
Swissprot
Concentration 0.3 mg/mL
Buffer Phosphate buffered solution, pH 7.4, containing 0.05% stabilizer and 50% glycerol.
Purification Method Affinity purification
Research Areas Signal Transduction
Conjugation Unconjugated
Storage Store at -20°C Valid for 12 months. Avoid freeze / thaw cycles.
Shipping The product is shipped with ice pack,upon receipt,store it immediately at the temperature recommended.

 

Related Reagents

Applications Recommended Dilution
IHC 1:50-1:200

 

Background

Members of the protein-tyrosine phosphatase superfamily cooperate with protein kinases to regulate cell proliferation and differentiation. This superfamily is separated into two families based on the substrate that is dephosphorylated. One family, the dual specificity phosphatases (DSPs) acts on both phosphotyrosine and phosphoserine/threonine residues. This gene encodes different but related DSP proteins through the use of non-overlapping open reading frames, alternate splicing, and presumed different transcription promoters. Expression of the distinct proteins from this gene has been found to be tissue specific and the proteins may be involved in postnatal development of specific tissues.