Warehouse Overstock Promotion |  Save 10%  on Premium Lab Supplies |  Shop Now

Menu

This product has been added to the cart.

DNMT3A Polyclonal Antibody Store at -20°C

SKU: E-AB-10288-200

  • $ 33995
  • Save $ 6000


Request a Quote

DNMT3A Polyclonal Antibody Store at -20°C

 

SKU # E-AB-10288
Reactivity Human, Mouse, Rat
Host Rabbit
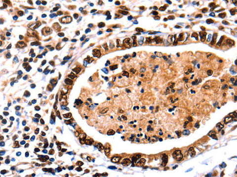
Applications IHC

 

Product Details

Isotype IgG
Host Rabbit
Reactivity Human,  Mouse,  Rat
Applications IHC
Clonality Polyclonal
Immunogen Recombinant protein of human DNMT3A
Abbre DNMT3A
Synonyms DNA (cytosine 5) methyltransferase 3 alpha,  DNA (cytosine 5) methyltransferase 3A,  DNA (cytosine-5)-methyltransferase 3A,  DNA MTase HsaIII,  DNA cytosine methyltransferase 3A2,  DNA methyltransferase 3 alpha,  DNA methyltransferase 3a,  DNA methyltransferase HsaIIIA
Swissprot
Cellular Localization Nucleus. Cytoplasm. Accumulates in the major satellite repeats at pericentric heterochromatin.
Concentration 0.6 mg/mL
Buffer Phosphate buffered solution, pH 7.4, containing 0.05% stabilizer and 50% glycerol.
Purification Method Affinity purification
Research Areas Cancer,  Epigenetics and Nuclear Signaling
Conjugation Unconjugated
Storage Store at -20°C Valid for 12 months. Avoid freeze / thaw cycles.
Shipping The product is shipped with ice pack,upon receipt,store it immediately at the temperature recommended.

 

Related Reagents

Applications Recommended Dilution
IHC 1:100-1:300

 

Background

CpG methylation is an epigenetic modification that is important for embryonic development, imprinting, and X-chromosome inactivation. Studies in mice have demonstrated that DNA methylation is required for mammalian development. This gene encodes a DNA methyltransferase that is thought to function in de novo methylation, rather than maintenance methylation. The protein localizes to the cytoplasm and nucleus and its expression is developmentally regulated. Alternative splicing results in multiple transcript variants encoding different isoforms.