DIO2 Polyclonal Antibody
Couldn't load pickup availability
Still have questions? Ask our experts!
DIO2 Polyclonal Antibody
| SKU # | E-AB-13198 |
| Reactivity | Human, Mouse, Rat |
| Host | Rabbit |
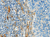
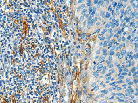
| Applications | IHC |
Product Details
| Isotype | IgG |
| Host | Rabbit |
| Reactivity | Human, Mouse, Rat |
| Applications | IHC |
| Clonality | Polyclonal |
| Immunogen | Synthetic peptide of human DIO2 |
| Abbre | DIO2 |
| Synonyms | 5DII, D2, DIO2, DIOII, Deiodinase, EC 1.97.1.10, IOD2, ITDI2, SelY, TXDI2, Thyroxine deiodinase, Type 2 DI, Type 2 iodothyronine deiodinase, Type II 5' deiodinase, Type II iodothyronine deiodinase, Type-II 5''-deiodinase, iodothyronine, type II |
| Swissprot | |
| Cellular Localization | Membrane. |
| Concentration | 0.9 mg/mL |
| Buffer | Phosphate buffered solution, pH 7.4, containing 0.05% stabilizer and 50% glycerol. |
| Purification Method | Affinity purification |
| Research Areas | Cancer, Metabolism, Neuroscience, Signal Transduction |
| Conjugation | Unconjugated |
| Storage | Store at -20°C Valid for 12 months. Avoid freeze / thaw cycles. |
| Shipping | The product is shipped with ice pack,upon receipt,store it immediately at the temperature recommended. |
Related Reagents
| Applications | Recommended Dilution |
| IHC | 1:25-1:100 |
Background
The protein encoded by this gene belongs to the iodothyronine deiodinase family. It activates thyroid hormone by converting the prohormone thyroxine (T4) by outer ring deiodination (ORD) to bioactive 3,3',5-triiodothyronine (T3). It is highly expressed in the thyroid, and may contribute significantly to the relative increase in thyroidal T3 production in patients with Graves disease and thyroid adenomas. This protein contains selenocysteine (Sec) residues encoded by the UGA codon, which normally signals translation termination. The 3' UTR of Sec-containing genes have a common stem-loop structure, the sec insertion sequence (SECIS), which is necessary for the recognition of UGA as a Sec codon rather than as a stop signal. Alternative splicing results in multiple transcript variants encoding different isoforms.