Warehouse Overstock Promotion |  Save 10%  on Premium Lab Supplies |  Shop Now

Menu

This product has been added to the cart.

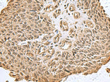
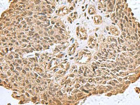
DCTPP1 Polyclonal Antibody Reactivity Human

SKU: E-AB-53056-200

  • $ 55995
  • Save $ 4000


Request a Quote

DCTPP1 Polyclonal Antibody Reactivity Human

 

SKU # E-AB-53056
Reactivity Human
Host Rabbit
Applications IHC

 

Product Details

Isotype IgG
Host Rabbit
Reactivity Human
Applications IHC
Clonality Polyclonal
Immunogen Fusion protein of human DCTPP1
Abbre DCTPP1
Synonyms CDA03 ,  DCTP1,  DCTPP1,  Deoxycytidine triphosphatase 1,  Deoxycytidine-triphosphatase 1,  RS21C6,  XTP3 transactivated gene A protein,  XTP3 transactivated protein A,  XTP3-transactivated gene A protein,  dCTP pyrophosphatase 1,  dCTPase 1
Swissprot
Cellular Localization Cytoplasm.
Concentration 1.44 mg/mL
Buffer Phosphate buffered solution, pH 7.4, containing 0.05% stabilizer and 50% glycerol.
Purification Method Antigen affinity purification
Research Areas Epigenetics and Nuclear Signaling
Conjugation Unconjugated
Storage Store at -20°C Valid for 12 months. Avoid freeze / thaw cycles.
Shipping The product is shipped with ice pack, upon receipt, store it immediately at the temperature recommended.

 

Related Reagents

Applications Recommended Dilution
IHC 1:100-1:300

 

Background

The protein encoded by this gene is dCTP pyrophosphatase, which converts dCTP to dCMP and inorganic pyrophosphate. The encoded protein also displays weak activity against dTTP and dATP, but none against dGTP. This protein may be responsible for eliminating excess dCTP after DNA synthesis and may prevent overmethylation of CpG islands. Three transcript variants, one protein-coding and the other two non-protein coding, have been found for this gene.