COX16 Polyclonal Antibody Store at -20°C
Regular price
$ 339.95
Couldn't load pickup availability
Still have questions? Ask our experts!
COX16 Polyclonal Antibody Store at -20°C
| SKU # | E-AB-10071 |
| Reactivity | Human, Mouse |
| Host | Rabbit |
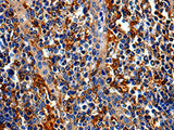
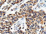
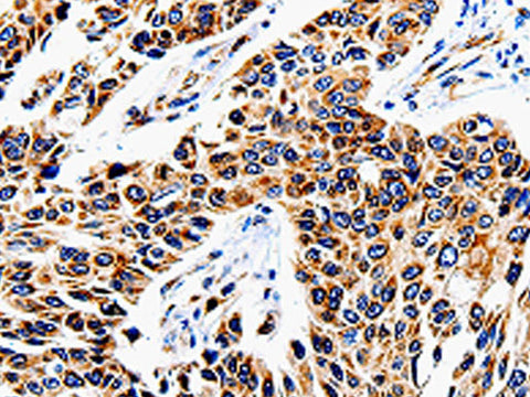
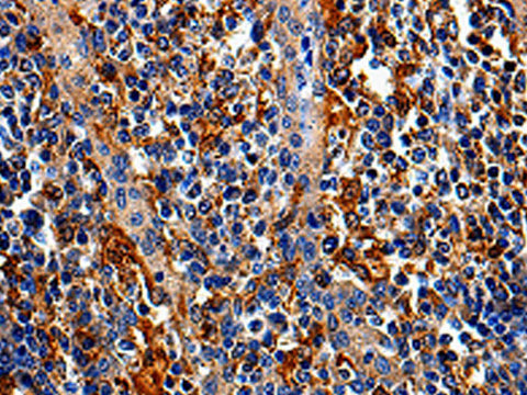
| Applications | IHC |
Product Details
| Isotype | IgG |
| Host | Rabbit |
| Reactivity | Human, Mouse |
| Applications | IHC |
| Clonality | Polyclonal |
| Immunogen | Recombinant protein of human COX16 |
| Abbre | COX16 |
| Synonyms | C14orf112, COX16, COX16 cytochrome c oxidase assembly homolog (S. cerevisiae), Cytochrome c oxidase assembly factor, Cytochrome c oxidase assembly protein COX16 homolog, HSPC203, PTD019, mitochondrial |
| Swissprot | |
| Cellular Localization | Mitochondrion membrane. |
| Concentration | 0.6 mg/mL |
| Buffer | Phosphate buffered solution, pH 7.4, containing 0.05% stabilizer and 50% glycerol. |
| Purification Method | Affinity purification |
| Research Areas | Metabolism, Signal Transduction |
| Conjugation | Unconjugated |
| Storage | Store at -20°C Valid for 12 months. Avoid freeze / thaw cycles. |
| Shipping | The product is shipped with ice pack,upon receipt,store it immediately at the temperature recommended. |
Related Reagents
| Applications | Recommended Dilution |
| IHC | 1:25-1:100 |
Background
This protein is encoded by COX16, corresponding to the previously uncharacterized open reading frame YJL003w of the yeast genome. COX16 was identified in studies of COX-deficient mutants previously assigned to complementation group G22 of a collection of yeast pet mutants. To determine its location, Cox16p was tagged with a Myc epitope at the C terminus.