CMC4 Polyclonal Antibody
SKU: E-AB-11409-200
CMC4 Polyclonal Antibody
| SKU # | E-AB-11409 |
| Reactivity | Human, Mouse |
| Host | Rabbit |
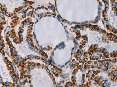
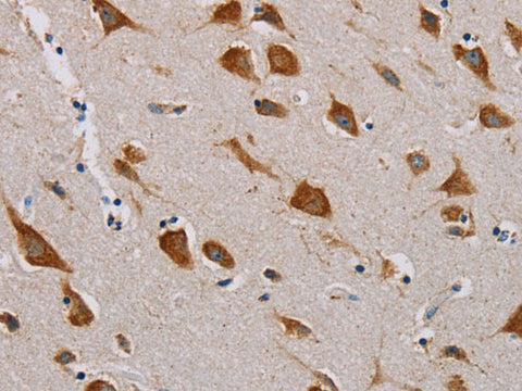
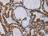
| Applications | IHC |
Product Details
| Isotype | IgG |
| Host | Rabbit |
| Reactivity | Human, Mouse |
| Applications | IHC |
| Clonality | Polyclonal |
| Immunogen | Recombinant protein of human CMC4 |
| Abbre | CMC4 |
| Synonyms | C6.1B, MTCP1, MTCP1B, MTCP1NB, p8, p8MTCP1 |
| Swissprot | |
| Cellular Localization | Mitochondrion, mitochondrial intermembrane space, mitochondrion. |
| Concentration | 0.3 mg/mL |
| Buffer | Phosphate buffered solution, pH 7.4, containing 0.05% stabilizer and 50% glycerol. |
| Purification Method | Affinity purification |
| Research Areas | Cell Biology |
| Conjugation | Unconjugated |
| Storage | Store at -20°C Valid for 12 months. Avoid freeze / thaw cycles. |
| Shipping | The product is shipped with ice pack,upon receipt,store it immediately at the temperature recommended. |
Related Reagents
| Applications | Recommended Dilution |
| IHC | 1:100-1:300 |
Background
This gene was identified by involvement in some t(X;14) translocations associated witHuman, Mouseature T-cell proliferations. This region has a complex gene structure, with a common promoter and 5' exon spliced to two different sets of 3' exons that encode two different proteins. This gene represents the downstream 8 kDa protein that localizes to mitochondria.