Warehouse Overstock Promotion |  Save 10%  on Premium Lab Supplies |  Shop Now

Menu

This product has been added to the cart.

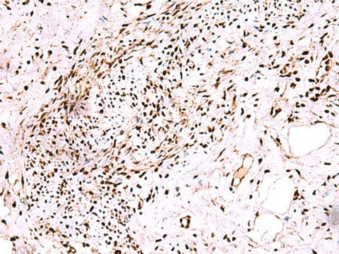
CDKN1B Polyclonal Antibody Reactivity Mouse

SKU: E-AB-52142-200

  • $ 55995
  • Save $ 4000


Request a Quote

CDKN1B Polyclonal Antibody Reactivity Mouse

 

SKU # E-AB-52142
Reactivity Human, Mouse
Host Rabbit
Applications IHC

 

Product Details

Isotype IgG
Host Rabbit
Reactivity Human, Mouse
Applications IHC
Clonality Polyclonal
Immunogen Fusion protein of human CDKN1B
Abbre CDKN1B
Synonyms AA408329,  AI843786,  CDKN 1B,  CDKN 4,  CDKN1B,  CDKN4,  CDN1B,  Cdki1b,  Cyclin Dependent Kinase Inhibitor 1B,  Cyclin dependent kinase inhibitor p27,  Cyclin-dependent kinase inhibitor 1B,  Cyclin-dependent kinase inhibitor 1B (p27,  Cyclin-dependent kinase inhibitor p2,  Kip1)
Swissprot
Cellular Localization Nucleus. Cytoplasm. Endosome. Nuclear and cytoplasmic in quiescent cells. AKT-or RSK-mediated phosphorylation on Thr-198, binds 14-3-3, translocates to the cytoplasm and promotes cell cycle progression. Mitogen-activated UHMK1 phosphorylation on Ser-10 also results in translocation to the cytoplasm and cell cycle progression. Phosphorylation on Ser-10 facilitates nuclear export. Translocates to the nucleus on phosphorylation of Tyr-88 and Tyr-89. Colocalizes at the endosome with SNX6 and this leads to lysosomal degradation.
Concentration 1.32 mg/mL
Buffer Phosphate buffered solution, pH 7.4, containing 0.05% stabilizer and 50% glycerol.
Purification Method Antigen affinity purification
Research Areas Cancer,  Cell Biology,  Epigenetics and Nuclear Signaling
Conjugation Unconjugated
Storage Store at -20°C Valid for 12 months. Avoid freeze / thaw cycles.
Shipping The product is shipped with ice pack, upon receipt, store it immediately at the temperature recommended.

 

Related Reagents

Applications Recommended Dilution
IHC 1:50-1:300

 

Background

This gene encodes a cyclin-dependent kinase inhibitor, which shares a limited similarity with CDK inhibitor CDKN1A/p21. The encoded protein binds to and prevents the activation of cyclin E-CDK2 or cyclin D-CDK4 complexes, and thus controls the cell cycle progression at G1. The degradation of this protein, which is triggered by its CDK dependent phosphorylation and subsequent ubiquitination by SCF complexes, is required for the cellular transition from quiescence to the proliferative state. Mutations in this gene are associated with multiple endocrine neoplasia type IV (MEN4).