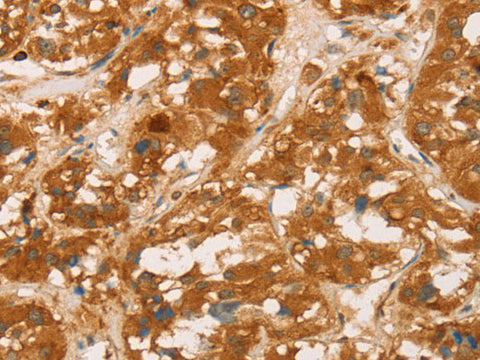
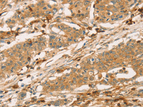
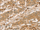
CD43 Polyclonal Antibody Store at -20°C
SKU: E-AB-11060-200
CD43 Polyclonal Antibody Store at -20°C
| SKU # | E-AB-11060 |
| Reactivity | Human |
| Host | Rabbit |
| Applications | IHC |
Product Details
| Isotype | IgG |
| Host | Rabbit |
| Reactivity | Human |
| Applications | IHC |
| Clonality | Polyclonal |
| Immunogen | Recombinant protein of human SPN |
| Abbre | SPN |
| Synonyms | CD 43, CD43, CD43 antigen, CD43), GALGP, GPL 115, GPL115, Galactoglycoprotein, Human gene for sialophorin, LEUK, LSN, Leucocyte sialoglycoprotein, Leukocyte large sialoglycoprotein, Leukocyte sialoglycoprotein, Leukosialin, Ly-48, Sialoph, leukosialin, sialophorin (gpL115 |
| Swissprot | |
| Cellular Localization | Membrane |
| Concentration | 0.7 mg/mL |
| Buffer | Phosphate buffered solution, pH 7.4, containing 0.05% stabilizer and 50% glycerol. |
| Purification Method | Affinity purification |
| Research Areas | Cancer, Immunology, Stem Cells |
| Conjugation | Unconjugated |
| Storage | Store at -20°C Valid for 12 months. Avoid freeze / thaw cycles. |
| Shipping | The product is shipped with ice pack,upon receipt,store it immediately at the temperature recommended. |
Related Reagents
| Applications | Recommended Dilution |
| IHC | 1:100-1:300 |
Background
The protein encoded by this gene is a major sialoglycoprotein found on the surface of thymocytes, T lymphocytes, monocytes, granulocytes, and some B lymphocytes. It may be part of a physiologic ligand-receptor complex involved in T-cell activation. During T-cell activation, this protein is actively removed from the T-cell-APC (antigen-presenting cell) contact site, suggesting a negative regulatory role in adaptive immune response.