Warehouse Overstock Promotion |  Save 10%  on Premium Lab Supplies |  Shop Now

Menu

This product has been added to the cart.

CD21 Monoclonal Antibody Stored at -20°C

CD21 Monoclonal Antibody Stored at -20°C

SKU: ELAB6013-M-0.1

  • $ 52895
  • Save $ 6400


Request a Quote

CD21 Monoclonal Antibody Stored at -20°C

 

Product Details

Host Mouse
Reactivity Human
Applications IHC-P
Synonyms CD21
Cellular Localization cell membrane
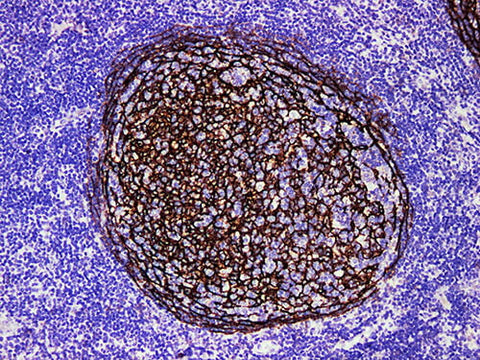
Tissue Specificity Tonsil
Storage The concentrated should be stored at -20°C protecting from light,Valid for 12 months.
Shipping Ice bag

 

Background

CD21, also known as complement receptor type 2 (CR2) and Epstein-Barr virus receptor, is expressed on follicular dendritic cells (FDCS) and B lymphocytes. It can be used to show the FDC network in the follicle and understand whether the lymph node structure is destroyed. Follicular dendritic cell sarcoma was positive for CD21. CD21 can also be used to identify abnormal follicular dendritic cell patterns in angioimmunoblastic T-cell lymphoma and follicular T-cell lymphoma.