Warehouse Overstock Promotion |  Save 10%  on Premium Lab Supplies |  Shop Now

Menu

This product has been added to the cart.

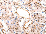
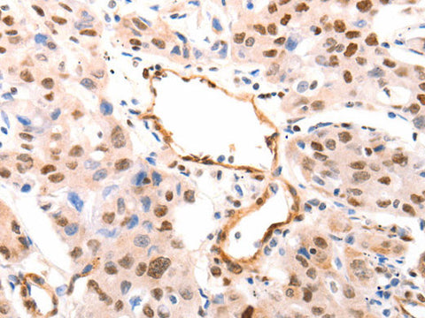
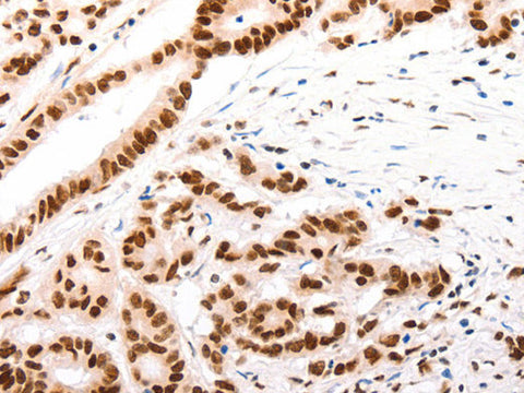
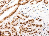
CASP9 (active) Polyclonal Antibody

SKU: E-AB-12941-200

  • $ 55995
  • Save $ 4000


Request a Quote

CASP9 (active) Polyclonal Antibody

 

SKU # E-AB-12941
Reactivity Human, Mouse
Host Rabbit
Applications IHC

 

Product Details

Isotype IgG
Host Rabbit
Reactivity Human, Mouse
Applications IHC
Clonality Polyclonal
Immunogen Synthetic peptide of human CASP9 (active)
Abbre CASP9 (active)
Synonyms APAF-3,  APAF3,  Apoptosis related cysteine peptidase,  Apoptotic protease Mch-6,  Apoptotic protease-activating factor 3,  CASP-9,  CASP9,  Caspase 9 Dominant Negative,  Caspase 9 apoptosis related cysteine peptidase,  Caspase 9c,  Caspase-9,  Caspase-9 subunit p10,  ICE
Swissprot
Cellular Localization Cytosol, apoptosome, cytosol, Mitochondrion, Nucleus, Other locations: protein complex.
Concentration 0.5 mg/mL
Buffer Phosphate buffered solution, pH 7.4, containing 0.05% stabilizer and 50% glycerol.
Purification Method Affinity purification
Research Areas Cancer,  Cell Biology,  Metabolism
Conjugation Unconjugated
Storage Store at -20°C Valid for 12 months. Avoid freeze / thaw cycles.
Shipping The product is shipped with ice pack,upon receipt,store it immediately at the temperature recommended.

 

Related Reagents

Applications Recommended Dilution
IHC 1:100-1:300

 

Background

This gene encodes a member of the cysteine-aspartic acid protease (caspase) family. Sequential activation of caspases plays a central role in the execution-phase of cell apoptosis. Caspases exist as inactive proenzymes which undergo proteolytic processing at conserved aspartic residues to produce two subunits, large and small, that dimerize to form the active enzyme. This protein is processed by caspase APAF1; this step is thought to be one of the earliest in the caspase activation cascade. Alternative splicing results in two transcript variants which encode different isoforms.