Warehouse Overstock Promotion |  Save 10%  on Premium Lab Supplies |  Shop Now

Menu

This product has been added to the cart.

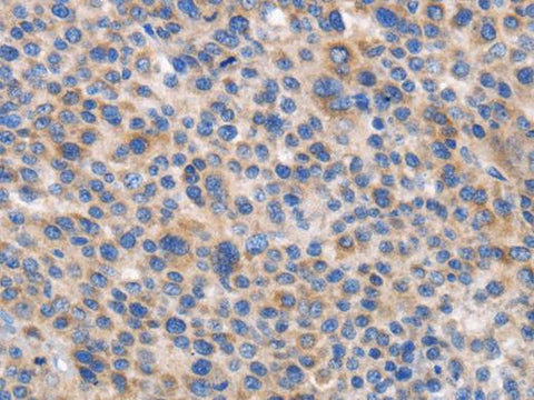
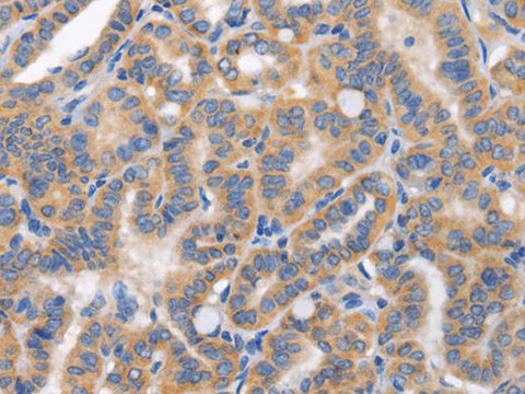
CARD17 Polyclonal Antibody

SKU: E-AB-16299-200

  • $ 55995
  • Save $ 4000


Request a Quote

CARD17 Polyclonal Antibody

 

SKU # E-AB-16299
Reactivity Human
Host Rabbit
Applications IHC

 

Product Details

Isotype IgG
Host Rabbit
Reactivity Human
Applications IHC
Clonality Polyclonal
Immunogen Synthetic peptide of human CARD17
Abbre CARD17
Synonyms CAR17,  CARD 17,  CARD17,  Caspase 1 inhibitor,  Caspase recruitment domain containing protein 17,  Caspase recruitment domain-containing protein 17,  Caspase-1 inhibitor INCA,  Caspase1 inhibitor,  Inhibitory caspase ,  Inhibitory caspase recruitment domain (CARD) protein
Swissprot
Cellular Localization Cytoplasm.
Concentration 0.7 mg/mL
Buffer Phosphate buffered solution, pH 7.4, containing 0.05% stabilizer and 50% glycerol.
Purification Method Affinity purification
Research Areas Cell biology
Conjugation Unconjugated
Storage Store at -20°C Valid for 12 months. Avoid freeze / thaw cycles.
Shipping The product is shipped with ice pack,upon receipt,store it immediately at the temperature recommended.

 

Related Reagents

Applications Recommended Dilution
IHC 1:50-1:200

 

Background

Regulator of procaspase-1/CASP1 activation implicated in the regulation of the proteolytic maturation of pro-IL-1beta/IL1B and its release during inflammation. Inhibits the release of IL1B in response to LPS in monocytes. However, unlike CASP1, do not induce NF-kappa-B activation.