Warehouse Overstock Promotion |  Save 10%  on Premium Lab Supplies |  Shop Now

Menu

This product has been added to the cart.

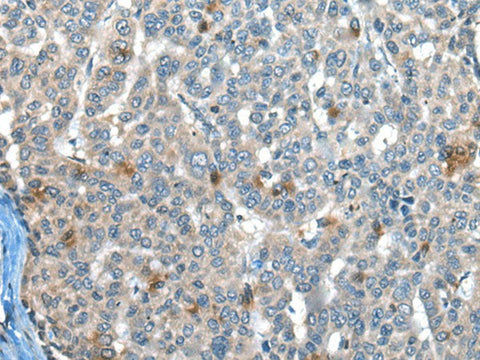
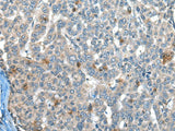
CAPN3 Polyclonal Antibody Reactivity Mouse

SKU: E-AB-52137-200

  • $ 55995
  • Save $ 4000


Request a Quote

CAPN3 Polyclonal Antibody Reactivity Mouse

 

SKU # E-AB-52137
Reactivity Human, Mouse, Rat
Host Rabbit
Applications IHC

 

Product Details

Isotype IgG
Host Rabbit
Reactivity Human, Mouse, Rat
Applications IHC
Clonality Polyclonal
Immunogen Fusion protein of human CAPN3
Abbre CAPN3
Synonyms (p94),   large [catalytic] subunit,   large polypeptide L3,  CAN3,  CANP 3,  CANP3,  CANPL3,  CAPN3,  Calcium-activated neutral proteinase 3,  Calpain L3,  Calpain large polypeptide L3 ,  Calpain p94,  Calpain-3,  LGMD 2A,  LGMD2,  LGMD2A,  Lp82,  Lp85,  MGC10,  calpain,  calpain 3,  calpain p94
Swissprot
Cellular Localization Cytoplasm.
Concentration 1.4 mg/mL
Buffer Phosphate buffered solution, pH 7.4, containing 0.05% stabilizer and 50% glycerol.
Purification Method Antigen affinity purification
Research Areas Cell Biology,  Signal transduction
Conjugation Unconjugated
Storage Store at -20°C Valid for 12 months. Avoid freeze / thaw cycles.
Shipping The product is shipped with ice pack, upon receipt, store it immediately at the temperature recommended.

 

Related Reagents

Applications Recommended Dilution
IHC 1:30-1:150

 

Background

Calpain, a heterodimer consisting of a large and a small subunit, is a major intracellular protease, although its function has not been well established. This gene encodes a muscle-specific member of the calpain large subunit family that specifically binds to titin. Mutations in this gene are associated with limb-girdle muscular dystrophies type 2A. Alternate promoters and alternative splicing result in multiple transcript variants encoding different isoforms and some variants are ubiquitously expressed.