Warehouse Overstock Promotion |  Save 10%  on Premium Lab Supplies |  Shop Now

Menu

This product has been added to the cart.

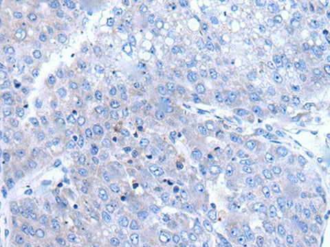
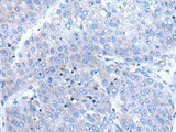
BTG4 Polyclonal Antibody Reactivity Human

SKU: E-AB-52136-200

  • $ 55995
  • Save $ 4000


Request a Quote

BTG4 Polyclonal Antibody Reactivity Human

 

SKU # E-AB-52136
Reactivity Human
Host Rabbit
Applications IHC

 

Product Details

Isotype IgG
Host Rabbit
Reactivity Human
Applications IHC
Clonality Polyclonal
Immunogen Fusion protein of human BTG4
Abbre BTG4
Synonyms B cell translocation gene 4,  BTG family member 4,  BTG4,  Btg4,  MGC33003,  PC3B ,  Protein BTG4,  Protein PC3b
Swissprot
Concentration 0.6 mg/mL
Buffer Phosphate buffered solution, pH 7.4, containing 0.05% stabilizer and 50% glycerol.
Purification Method Antigen affinity purification
Research Areas Cell Biology
Conjugation Unconjugated
Storage Store at -20°C Valid for 12 months. Avoid freeze / thaw cycles.
Shipping The product is shipped with ice pack, upon receipt, store it immediately at the temperature recommended.

 

Related Reagents

Applications Recommended Dilution
IHC 1:40-1:250

 

Background

The protein encoded by this gene is a member of the BTG/Tob family. This family has structurally related proteins that appear to have antiproliferative properties. This encoded protein can induce G1 arrest in the cell cycle.