Warehouse Overstock Promotion |  Save 10%  on Premium Lab Supplies |  Shop Now

Menu

This product has been added to the cart.

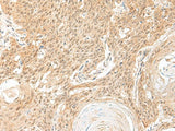
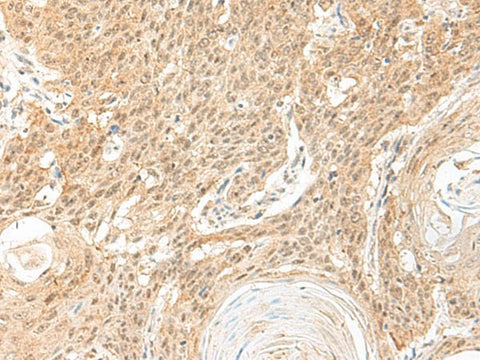
BICRA Polyclonal Antibody

SKU: E-AB-19913-200

  • $ 55995
  • Save $ 4000


Request a Quote

BICRA Polyclonal Antibody

 

SKU # E-AB-19913
Reactivity Human
Host Rabbit
Applications IHC

 

Product Details

Isotype IgG
Host Rabbit
Reactivity Human
Applications IHC
Clonality Polyclonal
Immunogen Synthetic peptide of human BICRA
Abbre BICRA
Synonyms GLTSCR1,  GSCR1,  Glioma tumor suppressor candidate region gene 1 protein
Swissprot
Concentration 1.68 mg/mL
Buffer Phosphate buffered solution, pH 7.4, containing 0.05% stabilizer and 50% glycerol.
Purification Method Antigen affinity purification
Research Areas Cancer,  Cell Biology
Conjugation Unconjugated
Storage Store at -20°C Valid for 12 months. Avoid freeze / thaw cycles.
Shipping The product is shipped with ice pack,upon receipt,store it immediately at the temperature recommended.

 

Related Reagents

Applications Recommended Dilution
IHC 1:50-1:300

 

Background   

May play a role in BRD4-mediated gene transcription.