Warehouse Overstock Promotion |  Save 10%  on Premium Lab Supplies |  Shop Now

Menu

This product has been added to the cart.

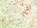
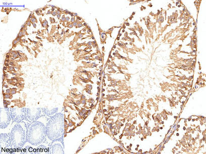
ATG5 Monoclonal Antibody

SKU: E-AB-22149-200

  • $ 55995
  • Save $ 4000


Request a Quote

ATG5 Monoclonal Antibody

 

SKU # E-AB-22149
Reactivity Human,  Mouse,  Rat
Host Mouse
Applications WB,  IHC-p

 

Product Details

Isotype IgG
Host Mouse
Reactivity Human,  Mouse,  Rat
Applications WB,  IHC-p
Clonality Monoclonal
Immunogen Recombinant Protein of ATG5
Abbre ATG5
Synonyms APG 5,  APG 5L,  APG5,  APG5 autophagy 5 like,  APG5 like,  APG5-like,  APG5L,  ASP,  ATG 5,  ATG5,  ATG5 autophagy related 5 homolog,  Apoptosis specific protein,  Apoptosis-specific protein,  Atg5,  Autophagy protein 5,  Autophagy related 5,  Homolog of S Cerevisiae autophagy 5,  hAPG5
Swissprot
Observed MW 55 kDa
Cellular Localization Cytoplasm. Preautophagosomal structure membrane. Colocalizes with nonmuscle actin. The conjugate detaches from the membrane immediately before or after autophagosome formation is completed (By similarity). Localizes also to discrete punctae along the ciliary axoneme and to the base of the ciliary axoneme.
Tissue Specificity Ubiquitous. The mRNA is present at similar levels in viable and apoptotic cells, whereas the protein is dramatically highly expressed in apoptotic cells.
Concentration 1 mg/mL
Buffer Phosphate buffered solution, pH 7.4, containing 0.05% stabilizer, 0.5% protein protectant and 50% glycerol.
Purification Method Protein A purification
Research Areas Cancer,  Cell Biology,  Cardiovascular,  Metabolism,  Signal Transduction
Clone No. 5D3
Conjugation Unconjugated
Storage Store at -20°C Valid for 12 months. Avoid freeze / thaw cycles.
Shipping The product is shipped with ice pack,upon receipt,store it immediately at the temperature recommended.

 

Related Reagents

Applications Recommended Dilution
WB 1:500-2000
IHC 1:50-300

 

Background

Autophagy protein 5 is a protein that in humans is encoded by the ATG5 gene. It is an E3 ubiquitin ligase which is necessary for autophagy due to its role in autophagosome elongation. It is activated by ATG7 and forms a complex with ATG12 and ATG16L1. This complex is necessary for LC3-1 conjugation to PE to form LC3-II.