Warehouse Overstock Promotion |  Save 10%  on Premium Lab Supplies |  Shop Now

Menu

This product has been added to the cart.

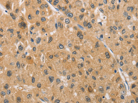
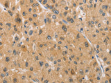
ARMCX1 Polyclonal Antibody Store at -20°C

SKU: E-AB-14615-200

  • $ 55995
  • Save $ 4000


Request a Quote

ARMCX1 Polyclonal Antibody Store at -20°C

 

SKU # E-AB-14615
Reactivity Human,  Mouse,  Rat
Host Rabbit
Applications IHC

 

Product Details

Isotype IgG
Host Rabbit
Reactivity Human,  Mouse,  Rat
Applications IHC
Clonality Polyclonal
Immunogen Recombinant protein of human ARMCX1
Abbre ARMCX1
Synonyms AD032,  ALEX1,  ARM protein lost in epithelial cancers on chromosome X 1,  ARMCX 1,  Arm protein lost in epithelial cancers X chromosome 1,  Armadillo repeat containing X linked 1,  Armadillo repeat containing X linked protein 1,  Armadillo repeat-containing X-linked p
Swissprot
Cellular Localization Membrane.
Concentration 0.1 mg/mL
Buffer Phosphate buffered solution, pH 7.4, containing 0.05% stabilizer and 50% glycerol.
Purification Method Affinity purification
Research Areas Cancer
Conjugation Unconjugated
Storage Store at -20°C Valid for 12 months. Avoid freeze / thaw cycles.
Shipping The product is shipped with ice pack,upon receipt,store it immediately at the temperature recommended.

 

Related Reagents

Applications Recommended Dilution
IHC 1:50-1:200

 

Background

This gene encodes a member of the ALEX family of proteins and may play a role in tumor suppression. The encoded protein contains a potential N-terminal transmembrane domain and two Armadillo (arm) repeats. Other proteins containing the arm repeat are involved in development, maintenance of tissue integrity, and tumorigenesis. This gene is closely localized with other family members, including ALEX2 and ALEX3, on the X chromosome.