Warehouse Overstock Promotion |  Save 10%  on Premium Lab Supplies |  Shop Now

Menu

This product has been added to the cart.

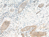
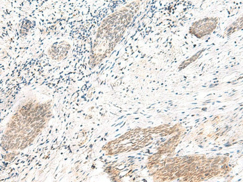
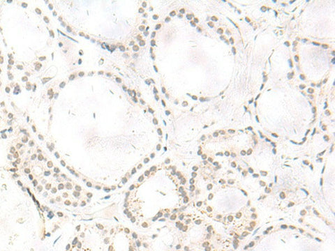
ARL2BP Polyclonal Antibody Reactivity Human

SKU: E-AB-52822-200

  • $ 55995
  • Save $ 4000


Request a Quote

ARL2BP Polyclonal Antibody Reactivity Human

 

SKU # E-AB-52822
Reactivity Human, Mouse, Rat
Host Rabbit
Applications IHC

 

Product Details

Isotype IgG
Host Rabbit
Reactivity Human, Mouse, Rat
Applications IHC
Clonality Polyclonal
Immunogen Fusion protein of human ARL2BP
Abbre ARL2BP
Synonyms ADP ribosylation factor like 2 binding protein,  ADP-ribosylation factor-like protein 2-binding protein,  AR2BP,  ARF-like 2-binding protein,  ARL2 binding protein,  ARL2BP protein,  Arf like 2 binding protein BART1,  Arl2bp,  BART,  BART1,  Binder o,  Binder of ARF2 protein 1
Swissprot
Cellular Localization Cytoplasm. Mitochondrion intermembrane space. Cytoplasm>cytoskeleton>centrosome. Nucleus. Cytoplasm>cytoskeleton>spindle. The complex formed with ARL2BP, ARL2 and SLC25A4 is expressed in mitochondria (By similarity). Detected in the midbody matrix. Not detected in the Golgi, nucleus and on the mitotic spindle. Centrosome-associated throughout the cell cycle. Not detected to interphase microtubules.
Concentration 0.84 mg/mL
Buffer Phosphate buffered solution, pH 7.4, containing 0.05% stabilizer and 50% glycerol.
Purification Method Antigen affinity purification
Research Areas Cancer,  Signal Transduction
Conjugation Unconjugated
Storage Store at -20°C Valid for 12 months. Avoid freeze / thaw cycles.
Shipping The product is shipped with ice pack, upon receipt, store it immediately at the temperature recommended.

 

Related Reagents

Applications Recommended Dilution
IHC 1:20-1:100

 

Background

ADP-ribosylation factor (ARF)-like proteins (ARLs) comprise a functionally distinct group of the ARF family of RAS-related GTPases. The protein encoded by this gene binds to ARL2.GTP with high affinity but does not interact with ARL2.GDP, activated ARF, or RHO proteins. The lack of detectable membrane association of this protein or ARL2 upon activation of ARL2 is suggestive of actions distinct from those of the ARFs. This protein is considered to be the first ARL2-specific effector identified, due to its interaction with ARL2.GTP but lack of ARL2 GTPase-activating protein activity.ARL2BP (ADP Ribosylation Factor Like GTPase 2 Binding Protein) is a Protein Coding gene. Diseases associated with ARL2BP include Retinitis Pigmentosa With Or Without Situs Inversus and Arl2bp-Related Retinitis Pigmentosa. Among its related pathways are Integration of energy metabolism and Metabolism. GO annotations related to this gene include transcription coactivator activity and GTPase regulator activity.