Warehouse Overstock Promotion |  Save 10%  on Premium Lab Supplies |  Shop Now

Menu

This product has been added to the cart.

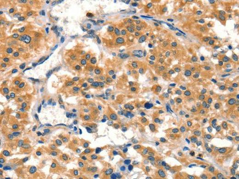
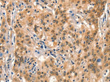
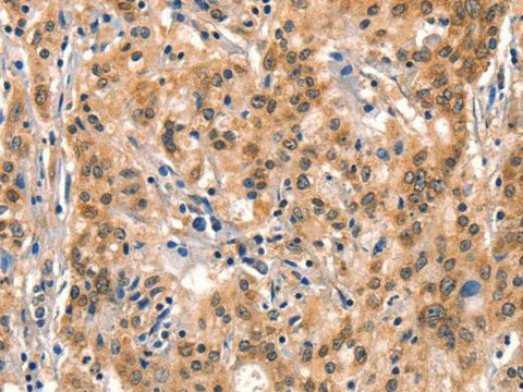
AIMP1 Polyclonal Antibody Store at -20°C Host Rabbit

SKU: E-AB-16403-200

  • $ 55995
  • Save $ 4000


Request a Quote

AIMP1 Polyclonal Antibody Store at -20°C Host Rabbit

 

SKU # E-AB-16403
Reactivity Human, Mouse
Host Rabbit
Applications WB, IHC

 

Product Details

Isotype IgG
Host Rabbit
Reactivity Human, Mouse
Applications WB, IHC
Clonality Polyclonal
Immunogen Synthetic peptide of human AIMP1
Abbre AIMP1
Synonyms AIMP 1,  AIMP1,  AIMP1/p43,  ARS interacting multifunctional protein 1,  Aimp1,  Aminoacyl tRNA synthetase complex-interacting multifunctional protein 1,  EMAP 2,  EMAP-2,  EMAP-II,  EMAP2,  EMAPII,  Endothelial monocyte activating,  Endothelial monocyte activating polypeptide 2
Swissprot
Calculated MW 34 kDa
Cellular Localization Nucleus. Cytoplasm>cytosol. Cytoplasmic vesicle>secretory vesicle. Secreted. Endoplasmic reticulum. Golgi apparatus. Enriched in secretory vesicles of pancreatic alpha cells and secreted from the pancreas in response to low glucose levels (By similarity). Also secreted in response to hypoxia and both apoptotic and necrotic cell death.
Concentration 0.6 mg/mL
Buffer Phosphate buffered solution, pH 7.4, containing 0.05% stabilizer and 50% glycerol.
Purification Method Affinity purification
Research Areas Cancer, Cell biology, Cardiovascular, Epigenetics and Nuclear Signaling, Immunology,  Tags and Cell markers
Conjugation Unconjugated
Storage Store at -20°C Valid for 12 months. Avoid freeze / thaw cycles.
Shipping The product is shipped with ice pack,upon receipt,store it immediately at the temperature recommended.

 

Related Reagents

Applications Recommended Dilution
WB 1:500-1:2000
IHC 1:50-1:200

 

Background

The protein encoded by this gene is a cytokine that is specifically induced by apoptosis, and it is involved in the control of angiogenesis, inflammation, and wound healing. The release of this cytokine renders the tumor-associated vasculature sensitive to tumor necrosis factor. The precursor protein is identical to the p43 subunit, which is associated with the multi-tRNA synthetase complex, and it modulates aminoacylation activity of tRNA synthetase in normal cells. This protein is also involved in the stimulation of inflammatory responses after proteolytic cleavage in tumor cells. Multiple transcript variants encoding different isoforms have been found for this gene. A pseudogene has been identified on chromosome 20.