Warehouse Overstock Promotion |  Save 10%  on Premium Lab Supplies |  Shop Now

Menu

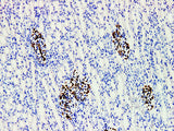
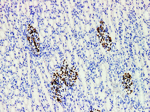
WT1 Monoclonal Antibody Stored at 2~8°C

SKU: PA6533-1.5

To better serve you, we would like to discuss your specific requirement.
Please Contact Us for a quote.


-Request a Quote

WT1 Monoclonal Antibody Stored at 2~8°C

 

Product Details

Host Mouse
Reactivity Human
Applications IHC-P
Synonyms WT1
Cellular Localization nucleus
Tissue Specificity Wilms'tumor
Storage The RTU should be stored at 2~8°C protecting from light (Do not freeze),Valid for 12 months.
Shipping Ice bag

 

Background

Wilms' Tumor 1(WT1) is a tumor suppressor gene, which is related to nephroblastoma. At the same time, it can be used to mark malignant mesothelioma and ovarian serous tumor, while uterine serous cancer is negative. Ewing's sarcoma and primitive neuroectodermal tumor are also negative, Wilms' Tumor 1(WT1) can be used for differential judging of some small round cell tumors.

Share Share