Warehouse Overstock Promotion |  Save 10%  on Premium Lab Supplies |  Shop Now

Menu

This product has been added to the cart.

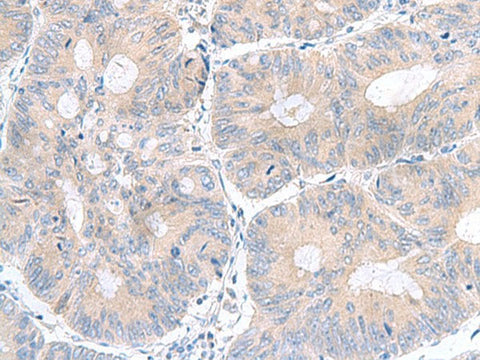
UBE2F Polyclonal Antibody Reactivity Human

SKU: E-AB-53067-200

  • $ 55995
  • Save $ 4000


Request a Quote

UBE2F Polyclonal Antibody Reactivity Human

 

SKU # E-AB-53067
Reactivity Human, Mouse, Rat
Host Rabbit
Applications IHC

 

Product Details

Isotype IgG
Host Rabbit
Reactivity Human, Mouse, Rat
Applications IHC
Clonality Polyclonal
Immunogen Fusion protein of human UBE2F
Abbre UBE2F
Synonyms NCE2,  NEDD8 carrier protein UBE2F,  NEDD8 conjugating enzyme,  NEDD8 conjugating enzyme UBE2F,  NEDD8 protein ligase UBE2F,  NEDD8-conjugating enzyme 2,  NEDD8-conjugating enzyme UBE2F,  UBE2F,  Ubiquitin conjugating enzyme E2F ,  Ubiquitin conjugating enzyme E2F (p,  ube2f
Swissprot
Concentration 1.74 mg/mL
Buffer Phosphate buffered solution, pH 7.4, containing 0.05% stabilizer and 50% glycerol.
Purification Method Antigen affinity purification
Research Areas Cancer,  Cell Biology,  Epigenetics and Nuclear Signaling
Conjugation Unconjugated
Storage Store at -20°C Valid for 12 months. Avoid freeze / thaw cycles.
Shipping The product is shipped with ice pack, upon receipt, store it immediately at the temperature recommended.

 

Related Reagents

Applications Recommended Dilution
IHC  1:100-1:200

 

Background

Accepts the ubiquitin-like protein NEDD8 from the UBA3-NAE1 E1 complex and catalyzes its covalent attachment to other proteins. The specific interaction with the E3 ubiquitin ligase RBX2, but not RBX1, suggests that the RBX2-UBE2F complex neddylates specific target proteins, such as CUL5.