Warehouse Overstock Promotion |  Save 10%  on Premium Lab Supplies |  Shop Now

Menu

This product has been added to the cart.

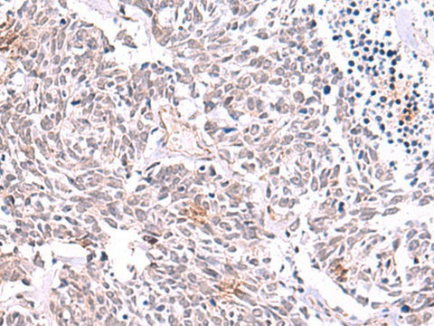
TRMT12 Polyclonal Antibody Reactivity Human

SKU: E-AB-52959-200

  • $ 55995
  • Save $ 4000


Request a Quote

TRMT12 Polyclonal Antibody Reactivity Human

 

SKU # E-AB-52959
Reactivity Human, Rat
Host Rabbit
Applications IHC

 

Product Details

Isotype IgG
Host Rabbit
Reactivity Human, Rat
Applications IHC
Clonality Polyclonal
Immunogen Fusion protein of human TRMT12
Abbre TRMT12
Synonyms Alpha amino alpha carboxypropyl transferase TYW2,  FLJ20772,  Homolog of yeast tRNA methyltransferase,  Radical S-adenosyl methionine and flavodoxin domain-containing protein 2,  TRM 12,  TRM12,  TRMT 12,  TRMT12,  tRNA methyltransferase 12,  tRNA methyltransferase 12 homo
Swissprot
Concentration 1.5 mg/mL
Buffer Phosphate buffered solution, pH 7.4, containing 0.05% stabilizer and 50% glycerol.
Purification Method Antigen affinity purification
Research Areas Epigenetics and Nuclear Signaling
Conjugation Unconjugated
Storage Store at -20°C Valid for 12 months. Avoid freeze / thaw cycles.
Shipping The product is shipped with ice pack, upon receipt, store it immediately at the temperature recommended.

 

Related Reagents

Applications Recommended Dilution
IHC 1:50-1:300

 

Background

Wybutosine (yW) is a hypermodified guanosine at the 3-prime position adjacent to the anticodon of phenylalanine tRNA that stabilizes codon-anticodon interactions during decoding on the ribosome. TRMT12 is the human homolog of a yeast gene essential for yW synthesis (Noma and Suzuki, 2006).