Warehouse Overstock Promotion |  Save 10%  on Premium Lab Supplies |  Shop Now

Menu

This product has been added to the cart.

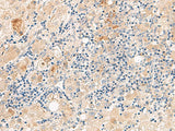
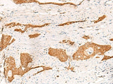
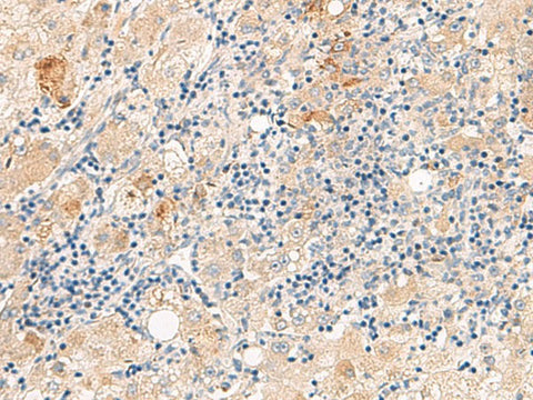
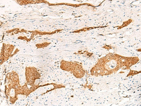
THNSL1 Polyclonal Antibody Reactivity Human

SKU: E-AB-52858-200

  • $ 55995
  • Save $ 4000


Request a Quote

THNSL1 Polyclonal Antibody Reactivity Human

 

SKU # E-AB-52858
Reactivity Human, Mouse
Host Rabbit
Applications WB, IHC

 

Product Details

Isotype IgG
Host Rabbit
Reactivity Human, Mouse
Applications WB, IHC
Clonality Polyclonal
Immunogen Fusion protein of human THNSL1
Abbre THNSL1
Synonyms THNS1,  THNSL1,  TSH1,  Threonine synthase-like 1
Swissprot
Calculated MW 83 kDa
Observed MW Refer to figures
Concentration 1.26 mg/mL
Buffer Phosphate buffered solution, pH 7.4, containing 0.05% stabilizer and 50% glycerol.
Purification Method Antigen affinity purification
Research Areas Metabolism,  Signal transduction
Conjugation Unconjugated
Storage Store at -20°C Valid for 12 months. Avoid freeze / thaw cycles.
Shipping The product is shipped with ice pack, upon receipt, store it immediately at the temperature recommended.

 

Related Reagents

Applications Recommended Dilution
WB  1:500-1:2000
IHC  1:50-1:300

 

Background

THNSL1 (threonine synthase-like 1), also known as TSH1, is a 743 amino acid member of the serine/threonine dehydratase family. Expressed primarily in brain and endocrine glands, THNSL1 is thought to function as a pyridoxal-5'-phosphate (PLP)-dependent enzyme that uses pyridoxal phosphate as a cofactor. THNSL1 shares similarity with bacterial threonine synthases (which synthesize threonine from aspartic acid), suggesting that THNSL1 may have once participated in de novo threonine synthesis within the body, but has since lost its original metabolic role.