Warehouse Overstock Promotion |  Save 10%  on Premium Lab Supplies |  Shop Now

Menu

This product has been added to the cart.

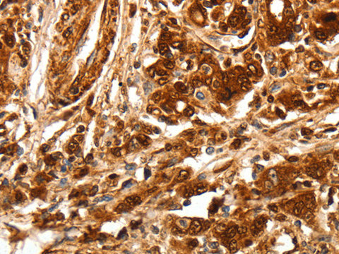
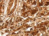
TGF β Receptor Polyclonal Antibody Store at -20°C

SKU: E-AB-16094-200

  • $ 55995
  • Save $ 4000


Request a Quote

TGF β Receptor Polyclonal Antibody Store at -20°C

 

SKU # E-AB-16094
Reactivity Human,  Mouse,  Rat
Host Rabbit
Applications IHC

 

Product Details

Isotype IgG
Host Rabbit
Reactivity Human,  Mouse,  Rat
Applications IHC
Clonality Polyclonal
Immunogen Synthetic peptide of human TGFBR1
Abbre TGFBR1
Synonyms 53kD,  53kDa,  AAT 5,  AAT5,  Activin A receptor type II like kinase,  Activin A receptor type II like kinase 53kDa,  Activin A receptor type II like protein kinase of 53kD,  activin A receptor type II-like kinase,  activin A receptor type II-like protein kinase of 53kD
Swissprot
Cellular Localization Cytoplasm
Concentration 0.3 mg/mL
Buffer Phosphate buffered solution, pH 7.4, containing 0.05% stabilizer and 50% glycerol.
Purification Method Affinity purification
Research Areas Cancer,  Cardiovascular,  Metabolism,  Signal Transduction,  Stem Cells
Conjugation Unconjugated
Storage Store at -20°C Valid for 12 months. Avoid freeze / thaw cycles.
Shipping The product is shipped with ice pack,upon receipt,store it immediately at the temperature recommended.

 

Related Reagents

Applications Recommended Dilution
IHC 1:100-1:300

 

Background

The protein encoded by this gene forms a heteromeric complex with type II TGF-beta receptors when bound to TGF-beta, transducing the TGF-beta signal from the cell surface to the cytoplasm. The encoded protein is a serine/threonine protein kinase. Mutations in this gene have been associated with Loeys-Dietz aortic aneurysm syndrome (LDAS). Multiple transcript variants encoding different isoforms have been found for this gene.