Warehouse Overstock Promotion |  Save 10%  on Premium Lab Supplies |  Shop Now

Menu

This product has been added to the cart.

TEAD2 Polyclonal Antibody

SKU: E-AB-52638-200

  • $ 55995
  • Save $ 4000


Request a Quote

TEAD2 Polyclonal Antibody

 

SKU # E-AB-52638
Reactivity Human, Mouse
Host Rabbit
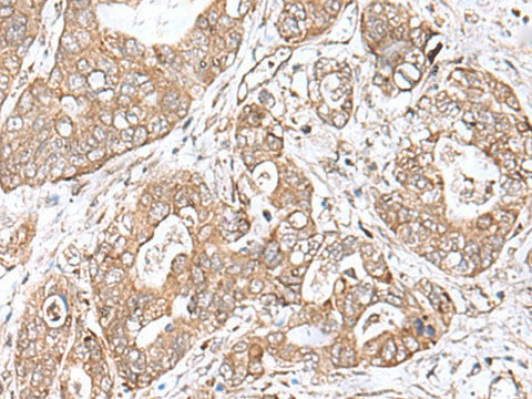
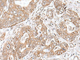
Applications IHC

 

Product Details

Isotype IgG
Host Rabbit
Reactivity Human, Mouse
Applications IHC
Clonality Polyclonal
Immunogen Fusion protein of human TEAD2
Abbre TEAD2
Synonyms ETEF 1,  ETF,  Embryonic TEA domain containing factor,  Etdf,  TEA domain family member 2,  TEAD 2,  TEAD-2,  TEAD2,  TEF 4,  TEF4,  Tead2 protein (TEA domain family member 2 (Mapped),  Transcriptional enhancer factor 4,  Transcriptional enhancer factor TEF ,  isoform CRA_b)
Swissprot
Cellular Localization Nucleus.
Concentration 1.08 mg/mL
Buffer Phosphate buffered solution, pH 7.4, containing 0.05% stabilizer and 50% glycerol.
Purification Method Antigen affinity purification
Research Areas Epigenetics and Nuclear Signaling
Conjugation Unconjugated
Storage Store at -20°C Valid for 12 months. Avoid freeze / thaw cycles.
Shipping The product is shipped with ice pack, upon receipt, store it immediately at the temperature recommended.

 

Related Reagents

Applications Recommended Dilution
IHC 1:40-1:200

 

Background

TEAD2 (TEA Domain Transcription Factor 2) is a Protein Coding gene. Among its related pathways are Mesodermal Commitment Pathway and Gene Expression. Gene Ontology (GO) annotations related to this gene include DNA binding transcription factor activity and transcription factor activity, RNA polymerase II distal enhancer sequence-specific binding. An important paralog of this gene is TEAD1.