Warehouse Overstock Promotion |  Save 10%  on Premium Lab Supplies |  Shop Now

Menu

This product has been added to the cart.

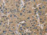
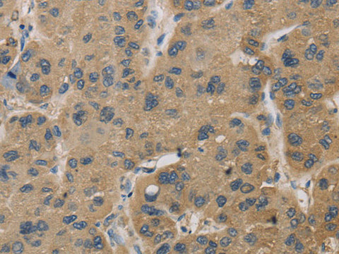
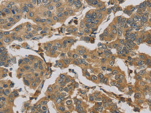
TBXAS1 Polyclonal Antibody Store at -20°C

SKU: E-AB-11128-200

  • $ 55995
  • Save $ 4000


Request a Quote

TBXAS1 Polyclonal Antibody Store at -20°C

 

SKU # E-AB-11128
Reactivity Human
Host Rabbit
Applications IHC

 

Product Details

Isotype IgG
Host Rabbit
Reactivity Human
Applications IHC
Clonality Polyclonal
Immunogen Recombinant protein of human TBXAS1
Abbre TBXAS1
Synonyms BDPLT14,  CYP5,  CYP5A1,  Cytochrome P450,  Cytochrome P450 5A1,  FLJ52771,  GHOSAL,  Platelet cytochrome P450 subfamily V,  THAS,  Tbxas1,  Thromboxane A synthase 1 (platelet,  Thromboxane A synthase 1 (platelet),  cytochrome P450,  family ,  family 5,  polypeptide 1,  subfamily A
Swissprot
Cellular Localization Endoplasmic reticulum membrane.
Concentration 0.7 mg/mL
Buffer Phosphate buffered solution, pH 7.4, containing 0.05% stabilizer and 50% glycerol.
Purification Method Affinity purification
Research Areas Cancer,  Cell Biology,  Cardiovascular,  Metabolism,  Signal Transduction
Conjugation Unconjugated
Storage Store at -20°C Valid for 12 months. Avoid freeze / thaw cycles.
Shipping The product is shipped with ice pack,upon receipt,store it immediately at the temperature recommended.

 

Related Reagents

Applications Recommended Dilution
IHC 1:50-1:200

 

Background

This gene encodes a member of the cytochrome P450 superfamily of enzymes. The cytochrome P450 proteins are monooxygenases which catalyze many reactions involved in drug metabolism and synthesis of cholesterol, steroids and other lipids. However, this protein is considered a member of the cytochrome P450 superfamily on the basis of sequence similarity rather than functional similarity. This endoplasmic reticulum membrane protein catalyzes the conversion of prostglandin H2 to thromboxane A2, a potent vasoconstrictor and inducer of platelet aggregation. The enzyme plays a role in several pathophysiological processes including hemostasis, cardiovascular disease, and stroke. Alternatively spliced transcript variants encoding different isoforms have been found for this gene.