Warehouse Overstock Promotion |  Save 10%  on Premium Lab Supplies |  Shop Now

Menu

This product has been added to the cart.

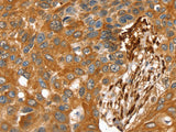
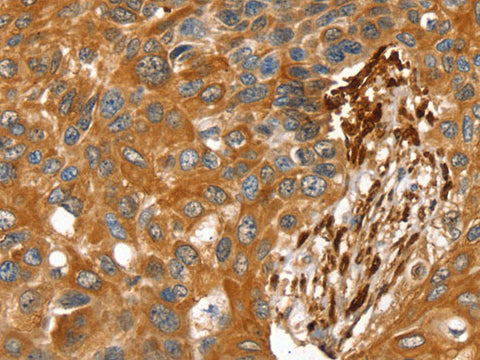
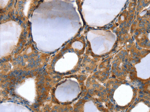
TAGLN Polyclonal Antibody Store at -20°C

SKU: E-AB-11588-200

  • $ 55995
  • Save $ 4000


Request a Quote

TAGLN Polyclonal Antibody Store at -20°C

 

SKU # E-AB-11588
Reactivity Human, Rat
Host Rabbit
Applications IHC

 

Product Details

Isotype IgG
Host Rabbit
Reactivity Human, Rat
Applications IHC
Clonality Polyclonal
Immunogen Recombinant protein of human TAGLN
Abbre TAGLN
Synonyms 22 kDa actin binding protein,  22 kDa actin-binding protein,  Human 22kDa smooth muscle protein,  Protein WS3-10,  SM22,  SM22 alpha,  SM22-alpha,  SMCC,  Smooth muscle protein 22-alpha,  TAGL,  TAGLN,  TAGLN1,  Transgelin,  Transgelin variant 2,  WS3 10
Swissprot
Cellular Localization Cytoplasm.
Concentration 0.3 mg/mL
Buffer Phosphate buffered solution, pH 7.4, containing 0.05% stabilizer and 50% glycerol.
Purification Method Affinity purification
Research Areas Cancer,  Cardiovascular,  Signal Transduction
Conjugation Unconjugated
Storage Store at -20°C Valid for 12 months. Avoid freeze / thaw cycles.
Shipping The product is shipped with ice pack,upon receipt,store it immediately at the temperature recommended.

 

Related Reagents

Applications Recommended Dilution
IHC 1:25-1:100

 

Background

The protein encoded by this gene is a transformation and shape-change sensitive actin cross-linking/gelling protein found in fibroblasts and smooth muscle. Its expression is down-regulated in many cell lines, and this down-regulation may be an early and sensitive marker for the onset of transformation. A functional role of this protein is unclear. Two transcript variants encoding the same protein have been found for this gene.