Warehouse Overstock Promotion |  Save 10%  on Premium Lab Supplies |  Shop Now

Menu

This product has been added to the cart.

SOX-13 Polyclonal Antibody

SKU: E-AB-12877-200

  • $ 55995
  • Save $ 4000


Request a Quote

SOX-13 Polyclonal Antibody

 

SKU # E-AB-12877
Reactivity Human, Mouse
Host Rabbit
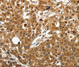
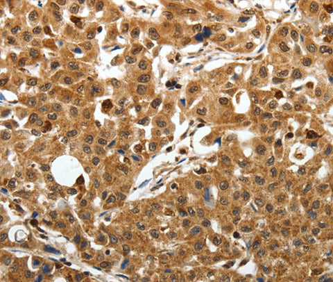
Applications WB, IHC

 

Product Details

Isotype IgG
Host Rabbit
Reactivity Human, Mouse
Applications WB, IHC
Clonality Polyclonal
Immunogen Synthetic peptide of human SOX13
Abbre SOX13
Synonyms ICA 12,  ICA12,  Islet cell 12,  Islet cell antigen 12,  MGC117216,  SOX 13,  SOX 13 protein,  SOX13,  SOX13 protein,  SRY (Sex determining region Y)-box 13,  SRY box 13,  SRY box containing gene 13,  SRY related HMG box gene 13,  SRY sex determining region Y box 13,  Transcri,  sox13
Swissprot
Calculated MW 69 kDa
Cellular Localization Nucleus.
Concentration 0.4 mg/mL
Buffer Phosphate buffered solution, pH 7.4, containing 0.05% stabilizer and 50% glycerol.
Purification Method Affinity purification
Research Areas Epigenetics and Nuclear Signaling,  Neuroscience
Conjugation Unconjugated
Storage Store at -20°C Valid for 12 months. Avoid freeze / thaw cycles.
Shipping The product is shipped with ice pack,upon receipt,store it immediately at the temperature recommended.

 

Related Reagents

Applications Recommended Dilution
WB 1:500-1:2000
IHC 1:50-1:200

 

Background

This gene encodes a member of the SOX (SRY-related HMG-box) family of transcription factors involved in the regulation of embryonic development and in the determination of cell fate. The encoded protein may act as a transcriptional regulator after forming a protein complex with other proteins. It has also been determined to be a type-1 diabetes autoantigen, also known as islet cell antibody 12.