Warehouse Overstock Promotion |  Save 10%  on Premium Lab Supplies |  Shop Now

Menu

This product has been added to the cart.

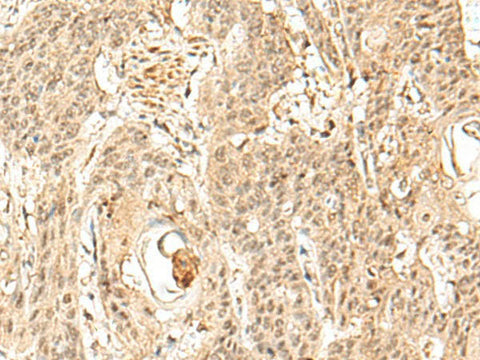
SNAPC5 Polyclonal Antibody

SKU: E-AB-19933-200

  • $ 55995
  • Save $ 4000


Request a Quote

SNAPC5 Polyclonal Antibody

 

SKU # E-AB-19933
Reactivity Human,  Mouse
Host Rabbit
Applications IHC

 

Product Details

Isotype IgG
Host Rabbit
Reactivity Human,  Mouse
Applications IHC
Clonality Polyclonal
Immunogen Synthetic peptide of human SNAPC5
Abbre SNAPC5
Synonyms SNAP 19,  SNAP19,  SNAPC 5,  SNAPc 19 kDa subunit ,  SNAPc subunit 5,  Small nuclear RNA activating complex polypeptide 5,  Small nuclear RNA activating complex polypeptide 5 19kDa,  snRNA activating protein complex 19 kDa subunit,  snRNA activating protein complex subun
Swissprot
Cellular Localization Nuclear
Concentration 0.78 mg/mL
Buffer Phosphate buffered solution, pH 7.4, containing 0.05% stabilizer and 50% glycerol.
Purification Method Antigen affinity purification
Research Areas Epigenetics and Nuclear Signaling
Conjugation Unconjugated
Storage Store at -20°C Valid for 12 months. Avoid freeze / thaw cycles.
Shipping The product is shipped with ice pack,upon receipt,store it immediately at the temperature recommended.

 

Related Reagents

Applications Recommended Dilution
IHC 1:30-1:150

 

Background   

This gene encodes a subunit of the small nuclear RNA (snRNA)-activating protein complex that plays a role in the transcription of snRNA genes. This complex binds to the promoters of snRNA genes transcribed by either RNA polymerase II or III and recruits other regulatory factors to activate snRNA gene transcription. The encoded protein may play a role in stabilizing this complex. A pseudogene of this gene has been identified on chromosome 6.