Warehouse Overstock Promotion |  Save 10%  on Premium Lab Supplies |  Shop Now

Menu

This product has been added to the cart.

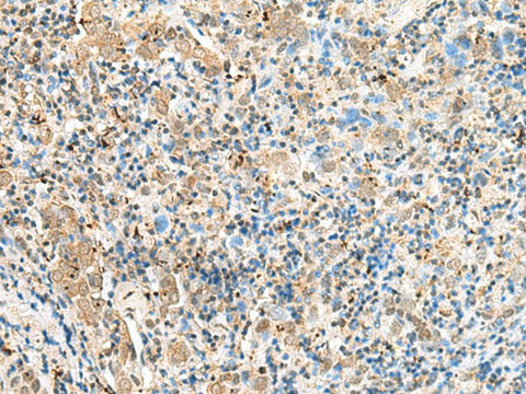
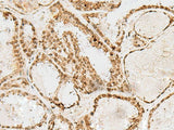
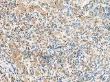
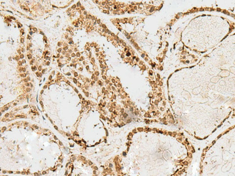
SNAPC1 Polyclonal Antibody Reactivity Human

SKU: E-AB-52733-200

  • $ 55995
  • Save $ 4000


Request a Quote

SNAPC1 Polyclonal Antibody Reactivity Human

 

SKU # E-AB-52733
Reactivity Human
Host Rabbit
Applications IHC

 

Product Details

Isotype IgG
Host Rabbit
Reactivity Human
Applications IHC
Clonality Polyclonal
Immunogen Fusion protein of human SNAPC1
Abbre SNAPC1
Synonyms poly,  PSE binding factor subunit gamma,  PSE-binding factor subunit gamma,  PTF subunit gamma,  PTFgamma,  Proximal sequence element-binding transcription factor subunit gamma,  Small nuclear RNA activating complex polypeptide 1,  small nuclear RNA activating complex
Swissprot
Cellular Localization Nucleus.
Concentration 1.08 mg/mL
Buffer Phosphate buffered solution, pH 7.4, containing 0.05% stabilizer and 50% glycerol.
Purification Method Antigen affinity purification
Research Areas Epigenetics and Nuclear Signaling
Conjugation Unconjugated
Storage Store at -20°C Valid for 12 months. Avoid freeze / thaw cycles.
Shipping The product is shipped with ice pack, upon receipt, store it immediately at the temperature recommended.

 

Related Reagents

Applications Recommended Dilution
IHC 1:50-1:300

 

Background

Part of the SNAPc complex required for the transcription of both RNA polymerase II and III small-nuclear RNA genes. Binds to the proximal sequence element (PSE), a non-TATA-box basal promoter element common to these 2 types of genes. Recruits TBP and BRF2 to the U6 snRNA TATA box.