Warehouse Overstock Promotion |  Save 10%  on Premium Lab Supplies |  Shop Now

Menu

This product has been added to the cart.

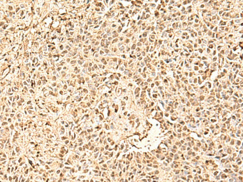
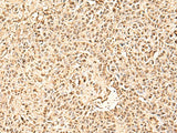
SMNDC1 Polyclonal Antibody Reactivity Human

SKU: E-AB-52865-200

  • $ 55995
  • Save $ 4000


Request a Quote

SMNDC1 Polyclonal Antibody Reactivity Human

 

SKU # E-AB-52865
Reactivity Human, Mouse, Rat
Host Rabbit
Applications IHC

 

Product Details

Isotype IgG
Host Rabbit
Reactivity Human, Mouse, Rat
Applications IHC
Clonality Polyclonal
Immunogen Fusion protein of human SMNDC1
Abbre SMNDC1
Synonyms survival of motor neuron-related ,  30 kDa splicing factor SMNrp,  MGC106917,  MGC112663,  SMN related protein,  SMN-related protein,  SMNR,  SPF30,  Splicing factor 30,  Survival motor neuron domain containing 1,  Survival motor neuron domain containing protei,  smndc1
Swissprot
Cellular Localization Nucleus speckle. Nucleus>Cajal body. Detected in nuclear speckles containing snRNP and in Cajal (coiled) bodies.
Concentration 0.84 mg/mL
Buffer Phosphate buffered solution, pH 7.4, containing 0.05% stabilizer and 50% glycerol.
Purification Method Antigen affinity purification
Research Areas Cancer,  Epigenetics and Nuclear Signaling,  Metabolism
Conjugation Unconjugated
Storage Store at -20°C Valid for 12 months. Avoid freeze / thaw cycles.
Shipping The product is shipped with ice pack, upon receipt, store it immediately at the temperature recommended.

 

Related Reagents

Applications Recommended Dilution
IHC 1:50-1:300

 

Background

This gene is a paralog of SMN1 gene, which encodes the survival motor neuron protein, mutations in which are cause of autosomal recessive proximal spinal muscular atrophy. The protein encoded by this gene is a nuclear protein that has been identified as a constituent of the spliceosome complex. This gene is differentially expressed, with abundant levels in skeletal muscle, and may share similar cellular function as the SMN1 gene.