Warehouse Overstock Promotion |  Save 10%  on Premium Lab Supplies |  Shop Now

Menu

This product has been added to the cart.

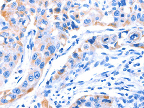
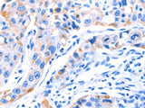
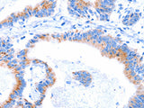
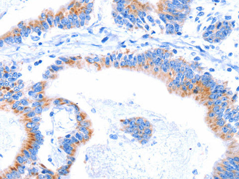
SMG8 Polyclonal Antibody

SKU: E-AB-12757-200

  • $ 55995
  • Save $ 4000


Request a Quote

SMG8 Polyclonal Antibody

 

SKU # E-AB-12757
Reactivity Human, Mouse
Host Rabbit
Applications IHC

 

Product Details

Isotype IgG
Host Rabbit
Reactivity Human, Mouse
Applications IHC
Clonality Polyclonal
Immunogen Synthetic peptide of human SMG8
Abbre SMG8
Synonyms ABC 2,  ABC2,  Amplified in breast cancer gene 2 protein,  Chromosome 17 open reading,  FLJ10587,  Protein smg 8 homolog,  SMG8,  SMG8 protein,  chromosome 17 open reading frame 71,  protein SMG8
Swissprot
Cellular Localization Cytosol
Concentration 0.3 mg/mL
Buffer Phosphate buffered solution, pH 7.4, containing 0.05% stabilizer and 50% glycerol.
Purification Method Affinity purification
Research Areas Cancer
Conjugation Unconjugated
Storage Store at -20°C Valid for 12 months. Avoid freeze / thaw cycles.
Shipping The product is shipped with ice pack,upon receipt,store it immediately at the temperature recommended

 

Related Reagents

Applications Recommended Dilution
IHC 1:25-1:100

 

Background

Involved in nonsense-mediated decay (NMD) of mRNAs containing premature stop codons. Is recruited by release factors to stalled ribosomes together with SMG1 and SMG9 (forming the SMG1C protein kinase complex) and, in the SMG1C complex, is required to mediate the recruitment of SMG1 to the ribosome:SURF complex and to suppress SMG1 kinase activity until the ribosome:SURF complex locates the exon junction complex (EJC). Acts as a regulator of kinase activity.