Warehouse Overstock Promotion |  Save 10%  on Premium Lab Supplies |  Shop Now

Menu

This product has been added to the cart.

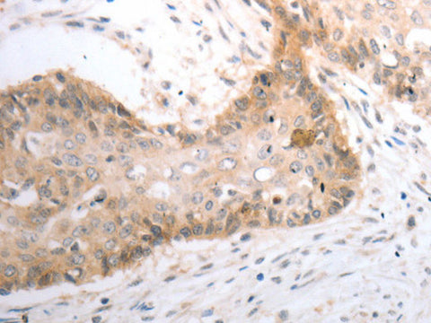
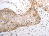
SLC1A4 Polyclonal Antibody

SKU: E-AB-12641-200

  • $ 55995
  • Save $ 4000


Request a Quote

SLC1A4 Polyclonal Antibody

 

SKU # E-AB-12641
Reactivity Human, Mouse
Host Rabbit
Applications WB, IHC

 

Product Details

Isotype IgG
Host Rabbit
Reactivity Human, Mouse
Applications WB, IHC
Clonality Polyclonal
Immunogen Synthetic peptide of human SLC1A4
Abbre SLC1A4
Synonyms ASCT-1,  ASCT1,  AW045657,  Alanine/serine/cysteine/threonine transporter 1,  Glutamate/neutral amino acid transporter,  Neutral amino acid transporter A,  OTTHUMP00000159933,  OTTHUMP00000235138,  SATT,  SLC1A4,  Solute carrier family 1 (glutamate/neutral amino acid tr
Swissprot
Calculated MW 56 kDa
Cellular Localization Membrane. Melanosome. Identified by mass spectrometry in melanosome fractions from stage I to stage IV.
Concentration 0.6 mg/mL
Buffer Phosphate buffered solution, pH 7.4, containing 0.05% stabilizer and 50% glycerol.
Purification Method Affinity purification
Research Areas Metabolism,  Signal Transduction
Conjugation Unconjugated
Storage Store at -20°C Valid for 12 months. Avoid freeze / thaw cycles.
Shipping The product is shipped with ice pack,upon receipt,store it immediately at the temperature recommended.

 

Related Reagents

Applications Recommended Dilution
WB 1:500-1:2000
IHC 1:25-1:100

 

Background

Neutral amino acid transporter A is a protein that in humans is encoded by the SLC1A4 gene.In melanocytic cells SLC1A4 gene expression may be regulated by MITF.ASCT1 does not transport glutamate or aspartate but alanine, serine, cysteine, and threonine instead.ASCT1 transporter functions primarily as an amino acid exchanger.Transport is associated with a chloride channel activity that is thermodynamically uncoupled from amino acid transport.