Warehouse Overstock Promotion |  Save 10%  on Premium Lab Supplies |  Shop Now

Menu

This product has been added to the cart.

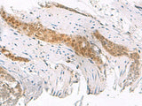
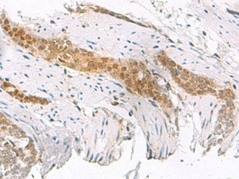
SCAND1 Polyclonal Antibody Reactivity Human

SKU: E-AB-52831-200

  • $ 55995
  • Save $ 4000


Request a Quote

SCAND1 Polyclonal Antibody Reactivity Human

 

SKU # E-AB-52831
Reactivity Human
Host Rabbit
Applications IHC

 

Product Details

Isotype IgG
Host Rabbit
Reactivity Human
Applications IHC
Clonality Polyclonal
Immunogen Fusion protein of human SCAND1
Abbre SCAND1
Synonyms Leap1,  Leucine rich domain interacting protein 1,  PPAR gamma cofactor 2,  Pgc2,  Ppargc2,  RAZ1,  SCAN domain containing 1,  SCAN domain containing protein 1,  SCAN domain-containing protein 1,  SCAN related protein RAZ1,  SCAND1,  SCND1,  SDP1
Swissprot
Cellular Localization Nucleus.
Concentration 0.72 mg/mL
Buffer Phosphate buffered solution, pH 7.4, containing 0.05% stabilizer and 50% glycerol.
Purification Method Antigen affinity purification
Research Areas Epigenetics and Nuclear Signaling
Conjugation Unconjugated
Storage Store at -20°C Valid for 12 months. Avoid freeze / thaw cycles.
Shipping The product is shipped with ice pack, upon receipt, store it immediately at the temperature recommended.

 

Related Reagents

Applications Recommended Dilution
IHC 1:50-1:300

 

Background

This gene encodes a SCAN box domain-containing protein. The SCAN domain is a highly conserved, leucine-rich motif of approximately 60 aa originally found within a subfamily of zinc finger proteins. This gene belongs to a family of genes that encode an isolated SCAN domain, but no zinc finger motif. This protein binds to and may regulate the function of the transcription factor myeloid zinc finger 1B. Alternate splicing results in multiple transcript variants.