Warehouse Overstock Promotion |  Save 10%  on Premium Lab Supplies |  Shop Now

Menu

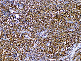
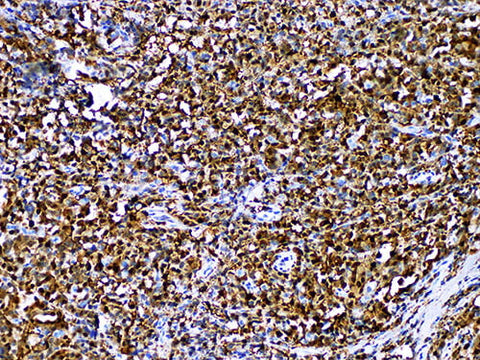
S100 Monoclonal Antibody Stored at 2~8°C

SKU: PA6217-1.5

To better serve you, we would like to discuss your specific requirement.
Please Contact Us for a quote.


-Request a Quote

S100 Monoclonal Antibody Stored at 2~8°C

 

Product Details

Host Mouse
Reactivity Human
Applications IHC-P
Synonyms S100
Cellular Localization nucleus/Cytoplasm
Tissue Specificity Melanoma
Storage The RTU should be stored at 2~8°C protecting from light (Do not freeze),Valid for 12 months.
Shipping Ice bag

 

Background

S-100 is a soluble acidic protein. There are three subtypes, namely s-100ao, s-100a and s-100b. S-100 mainly exists in nervous tissue, pituitary, carotid body, adrenal medulla, salivary glands, and few interlobular tissues, S-100 is mainly used to diagnose the astrocytoma oligodendroglioma, ependymoma, neuroblastoma, schwannoma, malignant melanoma and liposarcoma.

Share Share