Warehouse Overstock Promotion |  Save 10%  on Premium Lab Supplies |  Shop Now

Menu

This product has been added to the cart.

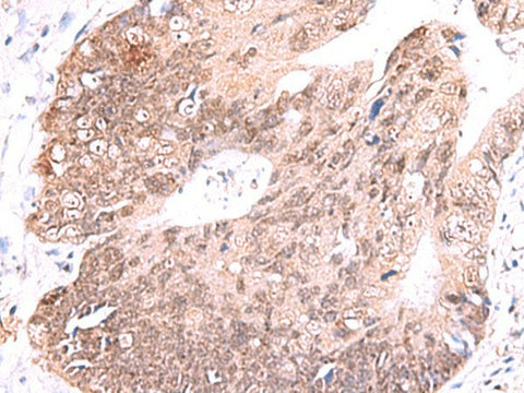
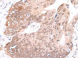
RUSC1 Polyclonal Antibody Reactivity Human

SKU: E-AB-52951-200

  • $ 55995
  • Save $ 4000


Request a Quote

RUSC1 Polyclonal Antibody Reactivity Human

 

SKU # E-AB-52951
Reactivity Human
Host Rabbit
Applications IHC

 

Product Details

Isotype IgG
Host Rabbit
Reactivity Human
Applications IHC
Clonality Polyclonal
Immunogen Fusion protein of human RUSC1
Abbre RUSC1
Synonyms DKFZp761A1822,  Nesca ,  New molecule containing SH3 at the carboxy terminus,  RUN and SH3 domain containing 1,  RUN and SH3 domain containing protein 1,  RUSC 1
Swissprot
Cellular Localization Cytoplasm. Nucleus. Note=Translocated to the nuclear envelope upon stimulation with NGF.
Concentration 1.14 mg/mL
Buffer Phosphate buffered solution, pH 7.4, containing 0.05% stabilizer and 50% glycerol.
Purification Method Antigen affinity purification
Research Areas Neuroscience,  Signal transduction
Conjugation Unconjugated
Storage Store at -20°C Valid for 12 months. Avoid freeze / thaw cycles.
Shipping The product is shipped with ice pack, upon receipt, store it immediately at the temperature recommended.

 

Related Reagents

Applications Recommended Dilution
IHC 1:50-1:300

 

Background

Putative signaling adapter which may play a role in neuronal differentiation. May be involved in regulation of NGF-dependent neurite outgrowth. Proposed to play a role in neuronal vesicular trafficking, specifically involving pre-synaptic membrane proteins. Seems to be involved in signaling pathways that are regulated by the prolonged activation of MAPK. Can regulate the polyubiquitination of IKBKG and thus may be involved in regulation of the NF-kappa-B pathway.