Warehouse Overstock Promotion |  Save 10%  on Premium Lab Supplies |  Shop Now

Menu

This product has been added to the cart.

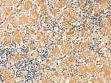
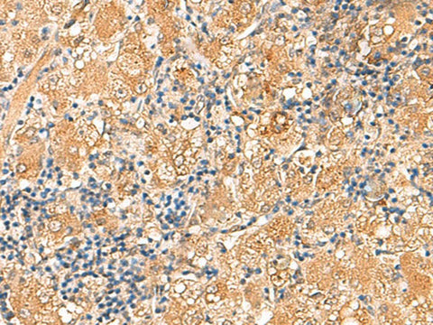
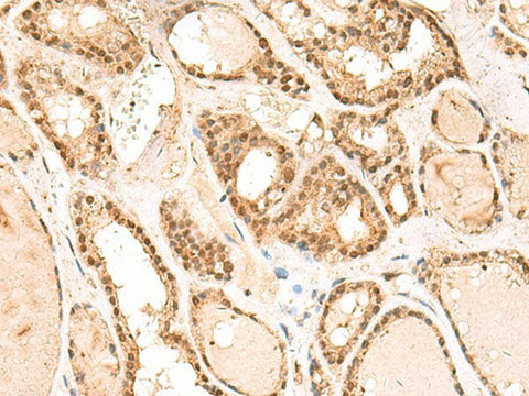
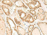
RPL13A Polyclonal Antibody Reactivity Human

SKU: E-AB-52849-200

  • $ 55995
  • Save $ 4000


Request a Quote

RPL13A Polyclonal Antibody Reactivity Human

 

SKU # E-AB-52849
Reactivity Human, Mouse, Rat
Host Rabbit
Applications WB, IHC

 

Product Details

Isotype IgG
Host Rabbit
Reactivity Human, Mouse, Rat
Applications WB,  IHC
Clonality Polyclonal
Immunogen Fusion protein of human RPL13A
Abbre RPL13A
Synonyms 23 kD highly basic protein,  23 kDa highly basic protein,  60S ribosomal protein L13a,  L13A,  P198,  RPL 13A,  Ribosomal protein L13a,  TSTA1,  Tissue specific transplantation antigen 1,  Transplantation antigen P198,  Tstap198 7,  Tum P198 antigen,  Tum antigen
Swissprot
Calculated MW 24 kDa
Observed MW Refer to figures
Concentration 1.02 mg/mL
Buffer Phosphate buffered solution, pH 7.4, containing 0.05% stabilizer and 50% glycerol.
Purification Method Antigen affinity purification
Research Areas Epigenetics and Nuclear Signaling
Conjugation Unconjugated
Storage Store at -20°C Valid for 12 months. Avoid freeze / thaw cycles.
Shipping The product is shipped with ice pack, upon receipt, store it immediately at the temperature recommended.

 

Related Reagents

Applications Recommended Dilution
WB 1:1000-1:5000
IHC 1:50-1:300

 

Background

Ribosomes, the organelles that catalyze protein synthesis, consist of a small 40S subunit and a large 60S subunit.Together these subunits are composed of 4 RNA species and approximately 80 structurally distinct proteins.This gene encodes a member of the L13P family of ribosomal proteins that is a component of the 60S subunit.The encoded protein also plays a role in the repression of inflammatory genes as a component of the IFN-gamma-activated inhibitor of translation (GAIT) complex.This gene is co-transcribed with the small nucleolar RNA genes U32, U33, U34, and U35, which are located in the second, fourth, fifth, and sixth introns, respectively.As is typical for genes encoding ribosomal proteins, there are multiple processed pseudogenes of this gene dispersed throughout the genome.Alternatively spliced transcript variants encoding multiple isoforms have been observed for this gene.